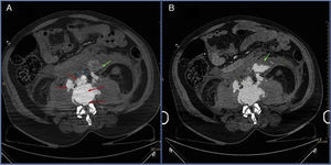
Fifty-six year-old anticoagulated male with ankylosing spondylitis hospitalized after being struck by a car. Patient presents in the hospital with hypovolemic shock, requiring massive blood transfusion and the administration of vasoactive drugs. Negative echo-FAST. The CAT scan confirms aortic rupture secondary to spinal lesion due to a flexion-distraction mechanism. Figures 1 and 2 show axial slices with IV contrast (IVC) in the arterial phase (A), portal phase (B), and sagittal slices in the arterial phase (C) at L2-L3 level. The abdominal aorta shows abundant adjacent hyperdense material consistent with extravasated IVC material (arrows) in the retroperitoneum, the intersomatic space and the epidural space. Patient undergoes urgent surgery that is followed by perioperative death (Figures 1 and 2).
Please cite this article as: Domínguez-Aguado H, Prieto-Portillo I, Marín-Toribio A. Rotura de aorta abdominal secundaria a traumatismo raquídeo. Med Intensiva. 2017;41:263.




