INTRODUCCIÓN
El absceso de próstata es una enfermedad poco frecuente que afecta fundamentalmente a pacientes diabéticos, alcohólicos e inmunodeprimidos. Los organismos implicados con más frecuencia en su etiología han variado en los últimos años: si bien hace tiempo el patógeno más frecuente era Neisseria gonorrhoeae, en la actualidad son las enterobacterias y los estafilococos los más hallados de manera más común. Si, como hemos dicho, se trata de una enfermedad poco frecuente, aún más raros son los casos documentados en la bibliografía de complicaciones sistémicas secundarias a abscesos prostáticos.
Presentamos aquí un caso de shock séptico secundario a un absceso prostático en un paciente con etilismo crónico. Se realizó una búsqueda bibliográfica en Medline (palabras clave: absceso prostático, shock séptico, sepsis) de los últimos 15 años.
CASO CLÍNICO
Un paciente de 47 años con antecedentes de obesidad, tabaquismo y etilismo crónico acudió al hospital por un cuadro agudo de disuria, dificultad para orinar, dolor lumbar y malestar general. La exploración física fue inespecífica, salvo por presentar fiebre de 38° C. En la analítica destacaba una leucocitosis con formas inmaduras, anemia macrocítica hipercroma (hemoglobina sérica 10,6 g/dl; VCM de 106,2; HCM de 36,4); urea de 103 mg/dl; creatinina de 1,8 mg/dl; GOT de 304 U/l; GPT de 151 U/l; GGT de 824 U/l. Los test de coagulación y recuento de plaquetas fueron normales. La fosfatasa alcalina fue de 877 U/l y la LDH de 861 U/l. El análisis de orina mostró un pH de 5,5, una leucoesterasa (+++), una hemoglobina peroxidasa (++), y presencia de leucocituria y bacteriuria. Se solicitaron hemocultivos y cultivo de orina y se inició tratamiento antibiótico empírico con amoxicilina-ácido clavulánico. Se realizó una ecografía abdominal, en la que aparecían un hígado aumentado de tamaño y una pequeña cantidad de líquido libre como hallazgos únicos. Los riñones eran de tamaño y forma normales. El paciente evolucionó desfavorablemente, presentando picos de fiebre de hasta 42° C, por lo que se cambió la pauta antibiótica por ceftazidima asociada a gentamicina. Sin embargo, se produjo un deterioro progresivo (renal, neurológico, fiebre persistente, leucocitosis en aumento) y el paciente fue trasladado a la unidad de cuidados intensivos (UCI).
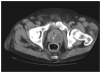
En las horas siguientes presentó picos febriles, deterioro respiratorio y hemodinámico, por lo que precisó intubación orotraqueal, conexión a ventilación mecánica e inicio de perfusión de fármacos vasoactivos. Cursó clínicamente con síndrome de distrés respiratorio agudo (SDRA) y shock séptico. Se recibieron los resultados de los cultivos, que fueron positivos, en sangre y orina para Escherichia coli, sensible a ceftazidima (se suspendió la gentamicina). Se solicitó una tomografía computarizada (TC) abdominopélvica en la que se observaba una próstata aumentada de tamaño, con 2 áreas hipodensas intraprostáticas de 2,5 y 4 cm de diámetro, respectivamente, y contorno irregular, todo ello compatible con un cuadro de prostatitis aguda y abscesos intraprostáticos (fig. 1), diagnóstico confirmado por ecografía transrectal. Se procedió a drenaje quirúrgico del absceso y resección transuretral (RTU) de la próstata, practicándose una talla vesical y sondaje uretral con lavado continuo. En los días siguientes se observó una mejoría lentamente progresiva de su insuficiencia respiratoria e inestabilidad hemodinámica, con normalización de la fiebre y de la leucocitosis. Fue dado de alta a la planta de urología 10 días después de su ingreso, y con posterioridad a su domicilio, con un mínimo grado de incontinencia urinaria. El informe anatomopatológico reveló una prostatitis aguda y crónica, sin signos de malignidad.
Figura 1. Áreas hipodensas intraprostáticas de 2,5 y 4 cm de diámetro (flechas) compatibles con abscesos prostáticos.
COMENTARIOS
Los abscesos de próstata son infrecuentes en la práctica clínica habitual y aparecen generalmente asociados a prostatitis, sobre todo en pacientes diabéticos o inmunodeprimidos, aunque se ha documentando una incidencia creciente entre pacientes en hemodiálisis, con sondaje urinario permanente y obstrucción urinaria infravesical1. La clínica es generalmente inespecífica y es preciso un alto grado de sospecha. Los pacientes suelen presentar fiebre y escalofríos, disuria y dolor perineal o suprapúbico. Si bien el diagnóstico de la prostatitis no precisa de una ecografía transrectal, el diagnóstico del absceso prostático pasa por la realización de pruebas de imagen, fundamentalmente TC y ecografía transrectal1-4. Ecográficamente se presenta como una imagen hipoecoica de paredes engrosadas, en tanto que en la TC, el hallazgo es el de una colección de densidad líquida en una glándula prostática aumentada de tamaño3.
En cuanto a los agentes etiológicos, en el mundo occidental, los más frecuentes son las enterobacterias, seguidas a distancia por los estafilococos y los hongos4. En los países orientales, Klebsiella pneumoniae es el más habitual, no sólo como agente etiológico en los abscesos de próstata, sino también de otras localizaciones (fundamentalmente hepáticos)3.
El tratamiento incluye antibioterapia y drenaje quirúrgico. La punción-aspiración con aguja con control de ecografía transrectal es un método simple y efectivo de drenaje del absceso prostático4, con baja morbilidad, que puede repetirse en caso de fracaso, o bien optar por la RTU5. Como alternativa, se proponen la incisión y el drenaje perineal en situaciones de emergencia y como opción secundaria1.
En la bibliografía encontramos pocos casos de complicaciones sistémicas graves de los abscesos prostáticos. Se ha publicado un caso de muerte por sepsis fulminante en un recién nacido de 10 días de edad en cuya autopsia el único foco infeccioso encontrado fue un absceso prostático6. También se ha publicado un caso de endoftalmitis en un paciente con absceso prostático y bacteriemia por K. pneumoniae. Al igual que nuestro paciente, se trataba de un adulto joven con hábito alcohólico y tabáquico, y su evolución fue favorable si bien, a diferencia de nuestro enfermo, no hubo complicaciones hemodinámicas ni respiratorias graves7. Otros autores han publicado un caso de endocarditis bacteriana aguda asociada a absceso prostático por Staphylococcus aureus. El drenaje quirúrgico y el tratamiento antibiótico permitieron una evolución favorable y la resolución del cuadro, sin otras complicaciones1.
En resumen, el absceso prostático es una entidad poco frecuente, cuyo diagnóstico puede retrasarse debido a lo inespecífico de la sintomatología y de los hallazgos clínicos. El diagnóstico definitivo pasa por la realización de pruebas de imagen y tratamiento consistente en antibióticos y drenaje quirúrgico. En el caso que presentamos, el absceso prostático se complica con un cuadro de shock séptico y SDRA, y evolucionó favorablemente tras el drenaje quirúrgico de la colección y la RTU.



