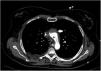
A patient is admitted to the hospital for an acute coronary syndrome complicated by a ventricular septal defect (VSD). Initially, treatment was performed with primary angioplasty and surgical correction of the VSD. During the procedure, the patient developed cardiogenic shock, requiring an intra-aortic balloon pump and a VA-ECMO. The VSD persisted despite treatment, leading to a heart transplant recommendation at a referral center. Prior to this, a CTA (computed tomography angiography) revealed an image consistent with an ascending aortic dissection (Images 1 and 2), resulting in the transplant being deferred. After reviewing the images at the transplant center, the aortic dissection was ruled out following assessment by transesophageal echocardiography of the aortic arch (Image 3), determining that the image was due to the confluence of ECMO flows, which eventually allowed the transplant to be performed.
El factor de impacto mide la media del número de citaciones recibidas en un año por trabajos publicados en la publicación durante los dos años anteriores.
© Clarivate Analytics, Journal Citation Reports 2025
SJR es una prestigiosa métrica basada en la idea de que todas las citaciones no son iguales. SJR usa un algoritmo similar al page rank de Google; es una medida cuantitativa y cualitativa al impacto de una publicación.
Ver másSNIP permite comparar el impacto de revistas de diferentes campos temáticos, corrigiendo las diferencias en la probabilidad de ser citado que existe entre revistas de distintas materias.
Ver más





