Sugerencias
Compartir
Información de la revista
Images in Intensive Medicine
Disponible online el 29 de diciembre de 2025
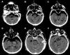
Coma due to tension pneumocephalus in the posterior fossae
Coma secundario a neumoencéfalo a tensión en fosa posterior
Visitas
542
Luis Patricio Maskin
Autor para correspondencia
lmaskin@fleni.org.ar

Corresponding author.
, Florencia A. Cabañuz, Federico Rodriguez Lucci
Intensive Care Unit, Fundación para la Lucha contra las Enfermedades Neurológicas de la Infancia (FLENI), Buenos Aires, Argentina
Este artículo ha recibido
Información del artículo
Texto completo
Descargar PDF
Estadísticas
Figuras (1)

Artículo

Opciones para acceder a los textos completos de la publicación Medicina Intensiva
Socio
Si es usted socio de la Sociedad Española de Medicina Intensiva, Crítica y Unidades Coronarias:
Diríjase al área de socios de la web de la SEMICYUC (www.semicyuc.org ) y pulse el enlace a la revista.
Suscriptor
Suscriptor de la revista

Si ya tiene sus datos de acceso, clique aquí.

Si olvidó su clave de acceso puede recuperarla clicando aquí y seleccionando la opción "He olvidado mi contraseña".
Suscribirse
Suscribirse a:

Medicina Intensiva

Comprar
Comprar acceso al artículo

Comprando el artículo el PDF del mismo podrá ser descargado

Comprar ahora
Contactar
Teléfono para suscripciones e incidencias
De lunes a viernes de 9h a 18h (GMT+1) excepto los meses de julio y agosto que será de 9 a 15h
Llamadas desde España
932 415 960
Llamadas desde fuera de España
+34 932 415 960
Email
Idiomas
Medicina Intensiva
Opciones de artículo
Herramientas