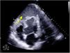
Varón 49 años ingresado tras shock cardiogénico SCAID secundario a síndrome coronario agudo sin elevación del ST de 12días de evolución no revascularizado en país de origen, complicado con disección intramiocárdica, condicionando hematoma apical contenido posterior (fig. 1, flecha amarilla), inestabilidad hemodinámica y disfunción biventricular severa que requiere de membrana de oxigenación extracorpórea veno-arterial como puente a trasplante cardiaco.
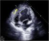
Tras una semana en lista urgente 0A, inestabilidad hemodinámica con necesidad de aumento de soporte farmacológico evidenciándose en la ecografía transtorácica rotura de hematoma contenido apical (fig. 2, flecha amarilla). Ante shock hemorrágico refractario a medidas, se programa cirugía urgente para control del sangrado; sin embargo, de forma coincidente, disponibilidad de órgano compatible con nuestro paciente, por lo que finalmente se realiza trasplante cardíaco.
FinanciaciónNo hemos tenido financiación alguna para realizar el trabajo ni este documento.
Consideraciones éticasSe han tenido en cuenta todas las normas para publicación en la revista.
Declaración sobre el uso de inteligencia artificialNo se han utilizado herramientas de inteligencia artificial en la generación de figuras ni en la elaboración o refinamiento del texto.
Conflicto de interesesNo tenemos conflictos de intereses relacionados con el objeto de este artículo.




