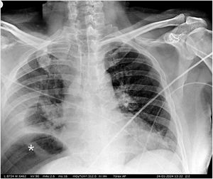
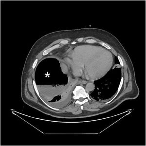
Varón de 49 años, sin antecedentes salvo por una tumorectomía renal derecha laparoscópica realizada hace un mes, por quiste Bosniak III-IV. Se presenta en urgencias con malestar general, dolor abdominal inespecífico y disnea. Se realiza inicialmente una radiografía de tórax (fig. 1), la cual es sugestiva de neumoperitoneo, seguida de un TAC abdominal (fig. 2) que muestra una colección subfrénica con nivel hidroaéreo. Durante la intervención quirúrgica se confirma una perforación de colon derecho retroperitoneal. Aunque las perforaciones de colon retroperitoneal suelen acompañarse de retroneumoperitoneo y abscesos retroperitoneales, en este caso no se identifican ninguna de las dos circunstancias, presentando únicamente un absceso subfrénico con nivel hidroaéreo, la cual, además, nos proporciona una falsa imagen de neumoperitoneo en la radiografía de tórax.
El factor de impacto mide la media del número de citaciones recibidas en un año por trabajos publicados en la publicación durante los dos años anteriores.
© Clarivate Analytics, Journal Citation Reports 2025
SJR es una prestigiosa métrica basada en la idea de que todas las citaciones no son iguales. SJR usa un algoritmo similar al page rank de Google; es una medida cuantitativa y cualitativa al impacto de una publicación.
Ver másSNIP permite comparar el impacto de revistas de diferentes campos temáticos, corrigiendo las diferencias en la probabilidad de ser citado que existe entre revistas de distintas materias.
Ver másEl número medio de días que tarda un artículo desde su envío hasta la primera decisión editorial.
Ver más




