Varón de 31 años sin antecedentes de interés que ingresa por cuadro de varios días de evolución de deposiciones diarreicas, fiebre y dolor abdominal. En la analítica destaca leucocitosis y PCR elevada. En el coprocultivo la toxina de Clostridium difficile es positiva.
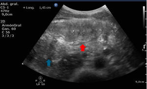
Se realiza ecografía de abdomen (fig. 1) en la que se objetiva inflamación de la pared del intestino grueso (flecha roja) con un grosor de 1,45cm (valor normal 0,3cm) y ausencia de peristaltismo visualizado en vídeo en comparación con el asa de intestino delgado (flecha azul), hallazgos compatibles con colitis que posteriormente se confirma por TC (fig. 2).
FinanciaciónNo se ha recibido ningún tipo de apoyo financiero para la realización de la publicación.
Conflicto de interesesNo existe conflicto de intereses.




