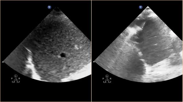
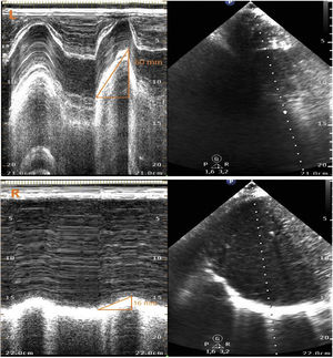
Paciente de 55 años que ingresa en la UCI tras cirugía cardiaca de reparación de comunicación interauricular tipo ostium secundum y drenaje venoso pulmonar anómalo. Tras la extubación, sin incidencias, permanece con hipoxemia sin alteraciones en la radiografía de tórax. Se realiza ecografía pulmonar en la que se objetiva una disminución del movimiento diafragmático derecho en comparación con el izquierdo (vídeo 1). Se mide la excursión diafragmática apreciándose una excursión derecha reducida de 16mm frente a una excursión izquierda de 60mm (fig. 1). Estos hallazgos son compatibles con parálisis diafragmática derecha en relación con una probable lesión del nervio frénico ipsilateral durante la cirugía. Mediante manejo conservador con fisioterapia respiratoria incentivada, la paciente evoluciona favorablemente hasta el alta, aunque con persistencia de la disfunción diafragmática por ecografía.
El factor de impacto mide la media del número de citaciones recibidas en un año por trabajos publicados en la publicación durante los dos años anteriores.
© Clarivate Analytics, Journal Citation Reports 2025
SJR es una prestigiosa métrica basada en la idea de que todas las citaciones no son iguales. SJR usa un algoritmo similar al page rank de Google; es una medida cuantitativa y cualitativa al impacto de una publicación.
Ver másSNIP permite comparar el impacto de revistas de diferentes campos temáticos, corrigiendo las diferencias en la probabilidad de ser citado que existe entre revistas de distintas materias.
Ver másEl número medio de días que tarda un artículo desde su envío hasta la primera decisión editorial.
Ver más



