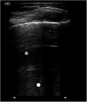
Niño de 6 años intervenido de Fontan. Tras su extubación fracasa por bronquitis plástica (BP). A los 4 días presenta hipofonesis del lóbulo superior derecho (LSD). Por ecografía pulmonar se observan líneas A (asterisco), algunas líneas B (punto blanco), con pulso de pulmón, pero sin deslizamiento pleural, sin áreas de condensación. El resto del pulmón está bien aireado, con deslizamiento pleural y sin imágenes patológicas. Se descarta neumotórax (fig. 1), pero llama la atención la ausencia de deslizamiento pleural. A los 3 días se observa un aumento de densidad en el LSD (fig. 2), sin correlación clínica. A los 15 días presenta insuficiencia respiratoria aguda progresiva con mejor aireación del hemitórax derecho por radiografía (fig. 3A), pero se colapsa a las 7h (fig. 3B). Por broncoscopia rígida se extrae un nuevo molde de BP (fig. 3C). La ecografía pulmonar permite la identificación precoz de áreas mal aireadas, sin deslizamiento pleural, previo a la consolidación. Esta imagen podría ser un indicador temprano de BP en pacientes en riesgo de presentarla, y el uso seriado de la ecografía pulmonar podría facilitar su control evolutivo.
FinanciaciónLos autores declaran no tener relaciones financieras o no financieras relevantes que resaltar.





