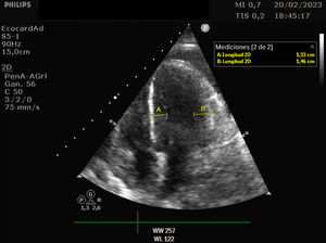
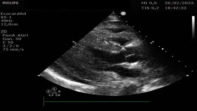
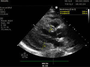
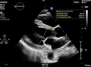
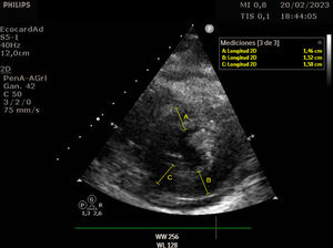
Se trata de una mujer de 41 años con deficiencia humoral y gammapatía monoclonal IgG lambda, que acude al servicio de Urgencias con fiebre y debilidad, siendo diagnosticada de infección respiratoria secundaria a Influenzae A. Veinticuatro horas después ingresa en el servicio de Medicina Intensiva por hipotensión severa, con necesidad de noradrenalina hasta 0,5 ug/kg/min, hipoalbuminemia y hemoconcentración. Se estableció el diagnóstico de síndrome de fuga capilar sistémica con edema intramiocárdico. El síndrome de fuga capilar sistémica es una condición caracterizada por la fuga de plasma y proteínas al compartimento intersticial, y se asocia con gammapatía monoclonal y frecuentemente aparece después de una infección del tracto respiratorio superior, siendo el edema intramiocárdico una complicación poco frecuente. En nuestra paciente, se realizó un ecocardiograma transtorácico al ingreso, mostrando una función ventricular sistólica dentro del límite inferior de la normalidad (FEVI 50-55%), con comportamiento restrictivo, además se evidencia un engrosamiento difuso del miocardio: eje largo paraesternal (fig. 1 y vídeo A), eje corto paraesternal a nivel apical (fig. 2), y plano apical cuatro cámaras (fig. 3), probablemente secundario a edema intramiocárdico, ya que un ecocardiograma transtorácico realizado 1 mes antes mostró grosores normales, eje largo paraesternal (fig. 4). Se prescribió tratamiento con inmunoglobulinas y corticosteroides, pero lamentablemente la paciente falleció 24 horas después del ingreso debido a un shock refractario.
El factor de impacto mide la media del número de citaciones recibidas en un año por trabajos publicados en la publicación durante los dos años anteriores.
© Clarivate Analytics, Journal Citation Reports 2025
SJR es una prestigiosa métrica basada en la idea de que todas las citaciones no son iguales. SJR usa un algoritmo similar al page rank de Google; es una medida cuantitativa y cualitativa al impacto de una publicación.
Ver másSNIP permite comparar el impacto de revistas de diferentes campos temáticos, corrigiendo las diferencias en la probabilidad de ser citado que existe entre revistas de distintas materias.
Ver másEl número medio de días que tarda un artículo desde su envío hasta la primera decisión editorial.
Ver más






