Sr. Director:
El hematoma de la vaina de los rectos (HVR) abdominales secundario al tratamiento anticoagulante es una causa infrecuente de abdomen agudo que exige un diagnóstico adecuado para evitar laparotomías innecesarias1. Se describe el caso de una paciente tratada con enoxaparina que tuvo un HVR tras ataques repetidos de tos.
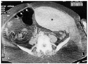
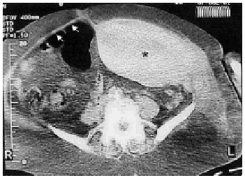
Una mujer de 80 años con antecedentes de asma y miocardiopatía hipertensiva acudió al hospital por presentar tos seca, disnea y palpitaciones. Seguía tratamiento con torasemida, quinapril y troxerutina. La exploración física reveló sibilancias diseminadas, ritmo cardíaco irregular y edemas maleolares, e insuficiencia venosa periférica. La temperatura fue de 36,8 ºC, la presión arterial de 160/95 mmHg y la frecuencia cardíaca de 150 lat/min. La analítica de ingreso únicamente mostró una mínima elevación de los valores de creatinina (1,2 mg/dl) y de urea (61 mg/dl). Tras establecerse el diagnóstico de bronquitis aguda con broncospasmo y fibrilación auricular aguda, la enferma fue tratada con ácido acetilsalicílico, enoxaparina subcutánea (1 mg/kg/12 h), digoxina, furosemida, codeína, diltiazem, metilprednisolona, levofloxacino y aerosoles de broncodilatadores. Al tercer día de ingreso, la paciente fue trasladada a la unidad de cuidados intensivos por dolor abdominal intenso tras accesos repetidos de tos e hipotensión arterial de 80/50 mmHg. La palpación abdominal reveló la presencia de una masa redondeada, dolorosa y no pulsátil en la zona infraumbilical izquierda. La analítica puso de manifiesto un descenso de los valores de hemoglobina desde 13,3 a 9,3 g/dl, y del hematocrito del 40,2 al 28,1%, así como un ligero deterioro de la función renal (creatinina de 1,6 mg/dl y urea de 78 mg/dl) y una alteración de la coagulación (actividad de protrombina de 14,5 s y tiempo de tromboplastina de 53,5 s). Una tomografía axial computarizada abdominal evidenció un HVR gigante y ausencia de sangrado intraperitoneal (fig. 1). La enoxaparina y el diltiazem fueron suspendidos, y la paciente fue tratada con fluidos, concentrados de hematíes (9 unidades) y factores del complejo protrombínico. La paciente tuvo una evolución favorable sin necesidad de tratamiento quirúrgico.
Figura 1. Tomografía computarizada del abdomen, en la que se observa un hematoma gigante del músculo recto izquierdo (*) y oblicuos junto a ausencia de líquido libre abdominal. Obsérvese, para su comparación, el tamaño normal del músculo recto derecho (flechas).
Esta paciente con fibrilación auricular y factores de riesgo hemorrágico (como edad avanzada, asma con accesos de tos e insuficiencia renal) tuvo un HVR como complicación del tratamiento anticoagulante con enoxaparina. La utilización de enoxaparina en dosis elevadas para prevenir o tratar la trombosis venosa profunda y las complicaciones isquémicas de los síndromes coronarios agudos sin elevación del segmento ST exige conocer sus complicaciones hemorrágicas específicas. Éstas se limitan a casos esporádicos de hematomas epidurales-espinales tras punciones traumáticas o repetidas en la columna vertebral con fines anestésicos o analgésicos, sangrados esplénicos o intrahepáticos y hematomas retroperitoneales2. La aparición de hematomas de la pared abdominal secundarios a la administración de enoxaparina son excepcionales. Así, asociados a importantes factores predisponentes de sangrado, Edlow et al1 publicaron un caso de HVR en un paciente anciano con leucemia y cirugía de derivación aortocoronaria, y Antonelli et al3 refirieron un hematoma gigante de la pared abdominal en dos pacientes críticos que habían sido dializados por insuficiencia renal. Holmes et al4 han descrito la aparición precoz de un HVR tras el inicio de la administración de enoxaparina en pacientes previamente sanos y sin factores favorecedores de sangrado significativos, como en un paciente con neumonía asociada a accesos de tos; nosotros2 también hemos comunicado un caso en una enferma con angina inestable. También se han descrito hematomas musculares de la pared abdominal durante el tratamiento con otras heparinas de bajo peso molecular, como la nadroparina cálcica5. La repercusión hemodinámica de estas hemorragias musculares secundarias a la utilización de enoxaparina, especialmente entre pacientes con enfermedad arterial coronaria, puede ser importante por la cantidad del sangrado, por la afección cardiovascular previa y por la frecuente administración simultánea de fármacos con efectos hipotensores, fármacos inotropos negativos o antiagregantes. Puesto que el sangrado tiende a autolimitarse, los HVR pueden tratarse conservadoramente, sin cirugía, en la mayoría de las ocasiones.



