Sr. Director:
Aunque puede ayudar a salvar una vida, el masaje cardíaco externo no está exento de complicaciones fatales que hay que saber diagnosticar1,2. Presentamos el caso de un hemoperitoneo por rotura hepática tras resucitación cardiopulmonar (RCP) básica diagnosticado a tiempo y tratado con éxito.
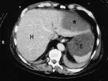
Se trataba de un paciente alemán de 62 años con antecedentes de IAM anteroseptal, disfunción ventricular severa, portador de un stent coronario y en tratamiento actual con anticoagulantes orales (INR 1,5), ácido acetilsalicílico, inhibidores de la ECA y nitratos. Previamente bien, presentó un paro cardiorrespiratorio en la vía pública por lo que se iniciaron maniobras de RCP básica. A la llegada de la ambulancia medicalizada se diagnosticó una fibrilación ventricular que revirtió a ritmo sinusal tras 2 choques eléctricos. Ingresó en la unidad de cuidados intensivos sedado y conectado a ventilación mecánica. La gasometría arterial con FiO2 1 indicó: pH, 7,18; PaCO2, 61 mmHg; PaO2, 131 mmHg, y HCO3, 22 mmol/l. Su tensión arterial era de 95/60 mmHg, el pulso de 85 lpm y el ECG ritmo sinusal con rectificación del segmento ST en cara inferior. El resto de la exploración no reveló hallazgos significativos. Se suspendió la sedación y a las 2 horas del ingreso se objetivó un paciente con apertura espontánea de ojos y capaz de localizar dolor, taquipneico y desadaptado de la ventilación mecánica, hemodinámicamente estable pero con tendencia a la oliguria, destacando un abdomen distendido, doloroso y defendido a la palpación. Una nueva gasometría arterial mostró acidosis metabólica (pH, 7,22; PaCO2, 17 mmHg; PaO2, 228 mmHg, y HCO3, 7 mmol/l) refractaria a la administración de bicarbonato y se obtuvo una hemoglobina de 13,6 g/dl. Mediante ecografía abdominal se demostró una dilatación de asas de intestino delgado y líquido libre intraperitoneal. Una radiografía de abdomen descartó neumoperitoneo. Se practicó laparotomía exploradora, siendo los hallazgos hemoperitoneo masivo por rotura hepática con sección del ligamento redondo y del coronario que se repararon y hematoma subcapsular hepático importante. El paciente reingresó en la UCI con su trastorno metabólico corregido, manteniendo tensión arterial y diuresis adecuadas. El hematoma subcapsular hepático se controló mediante TAC abdominal (fig. 1) sin evidenciar cambios significativos. El paciente fue trasladado a su país de origen.
Fig. 1. TAC abdominal con administración de contraste intravenoso en donde se muestra el hematoma subcapsular hepático (*). H: hígado, y E: estómago.
La RCP puede producir lesiones a nivel torácico o intraabdominal. El estudio necrópsico de 705 pacientes sometidos a RCP demostró 15 (2,1%) casos de rotura/laceración hepática y un hematoma subcapsular. Esta relativa elevada incidencia se explicaría por la localización medial del hígado, la frecuente hepatomegalia de los pacientes cardíacos, la incorrecta colocación de las manos o las compresiones cardíacas demasido enérgicas3. No se conoce el número de laceraciones hepáticas que producen complicaciones hemorrágicas, pero puede verse favorecido por la frecuente administración de heparina o fibrinólisis post-RCP causando un shock hemorrágico2-5. Hay pocos casos en la bibliografía de pacientes con inestabilidad hemodinámica post-RCP diagnosticados de traumatismo hepático severo y tratados con éxito2,4,5. La situación crítica impide al paciente referir o localizar su dolor abdominal y la inestabilidad hemodinámica es interpretada inicialmente como secundaria al paro cardíaco. Cuando junto a la hipotensión hay distensión abdominal, la ecografía abdominal es la prueba de elección para el diagnóstico de lesión hepática y hemoperitoneo2. Las complicaciones del masaje cardíaco externo siempre deben considerarse en el diagnóstico diferencial de todo paciente reanimado con hallazgos inesperados post-RCP2, que en nuestro caso fueron dolor y distensión abdominal, junto con una acidosis metabólica inexplicable.



