Varón de 49 años de edad que sufre un accidente de coche siendo copiloto y portador del cinturón de seguridad. Presentó un traumatismo torácico con múltiples fracturas costales izquierdas, inestabilidad de la caja torácica, hemoneumotórax izquierdo que se drenó y traumatismo abdominal con rotura de bazo y perforación del íleon, realizándose esplenectomía y sutura directa de la perforación intestinal.
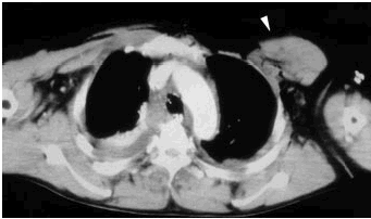
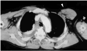
La palpación detectó un espacio vacío en la región infraclavicular izquierda. Se realizó una TC de tórax al ingreso, que puso de manifiesto la presencia de una contusión pulmonar izquierda con derrame pleural bilateral, y en la pared torácica una desinserción del músculo pectoral mayor izquierdo en su unión con la articulación condrosternal, con retracción lateral del vientre del músculo.
El tercer día del ingreso se intervino realizándose la sutura del músculo en su lugar de inserción. La desinserción traumática del músculo pectoral mayor en su porción esternal y costal es una rareza.



