Varón de 30 años de edad que 4 días antes de su actual ingreso había sido intervenido por una apendicitis aguda. En el postoperatorio inmediato no presentó ninguna complicación y fue dado de alta hospitalaria. Ocho horas después de regresar a su domicilio, al incorporarse refiere la aparición brusca de disnea, inestabilidad espacial, opresión torácica y pérdida de visión, motivos por los que acude a nuestro centro.
A su ingreso, se apreció taquipnea con hipoxemia y normocapnia, respirando aire ambiente. El electrocardiograma (ECG) evidenció taquicardia sinusal, con eje derecho, pero sin patrón definido de sobrecarga ventricular, y la analítica objetivó hiperfibrinogenemia con elevación de los productos de degradación de fibrinógeno.
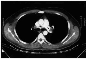
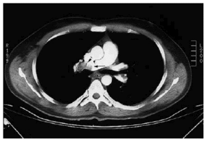
Se le practicó tomografía axial computarizada (TAC) helicoidal, que demostró la presencia de trombos en la luz del tronco principal de la arteria pulmonar derecha (fig. 1) y en la rama inferior de la arteria pulmonar izquierda (fig. 2).
Fig. 1.
Fig. 2.
La analítica obtenida previamente al inicio de la anticoagulación reveló déficit de proteína C (49%; límites, 70-140%), con valores fisiológicos de anticoagulante lúpico y proteína S. La evolución posterior, siguiendo terapéutica anticoagulante, fue satisfactoria.




