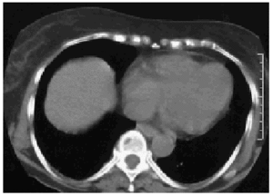
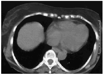
Mujer de 79 años de edad en quien, durante la realización de una TC abdominal con contraste, se produjo de forma accidental la administración de 100 ml de aire a través de una vena periférica con un flujo de 2 ml/s, motivo por el que realizó una TC torácica, donde se observó una burbuja aérea en el ventrículo derecho (fig. 1). La paciente en todo momento se encontró asintomática.
Figura 1.
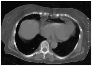
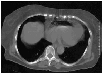
Se consultó a la UCI, donde se planteó la extracción del aire a través de un catéter central. Previamente, se realizó una nueva TC torácica de control, aproximadamente una hora después de la inyección, donde ya no se observa la burbuja aérea (fig. 2). Ante la falta de sintomatología secundaria a embolia aérea, se decidió mantener una actitud conservadora. La paciente fue dada de alta del hospital sin secuelas.
Figura 2.




