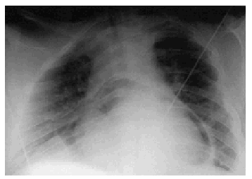
Varón de 32 años de edad, obeso, con síndrome de Down y antecedentes personales de ductus arterioso intervenido en la infancia y derrame pericárdico crónico grave. En la última ecocardiografía de control efectuada, se apreciaba un derrame pericárdico circunferencial grave con cambios inspiratorios en los flujos mitral y tricúspide y una dilatación de la vena cava inferior. Ante estos signos de compromiso hemodinámico, se decidió realizar pericardiocentesis percutánea. Se extrajeron 1.100 ml de un líquido ambarino y translúcido, y se dejó colocado un catéter de drenaje. En la radiografía de tórax de control realizada unas horas más tarde (fig. 1) podemos apreciar un importante neumopericardio. Al día siguiente, se retiró el citado drenaje por ser muy escaso el débito a través de él.
Figura 1.
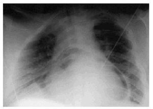
En los días posteriores, fue produciéndose una progresiva acumulación de líquido en el saco pericárdico, de tal forma que observamos un llamativo nivel hidroaéreo en la cavidad pericárdica (fig. 2). El hidroneumopericardio es un hallazgo radiológico poco frecuente, sobre todo cuando es de tipo iatrogénico tras punción pericárdica. Finalmente, ante dicha evolución y la aparición de signos clínicos de taponamiento cardíaco, se efectuó ventana pleuropericárdica, cuyo curso posterior fue satisfactorio.
Figura 2.
Diagnóstico: hidroneumopericardio pospericardiocentesis.




