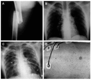
Varón de 18 años que ingresó por una fractura del fémur derecho con acabalgamiento a consecuencia de un accidente de tráfico (fig. 1A). En el momento del ingreso, la radiografía de tórax fue normal (fig. 1B). A las 3 h del accidente, el paciente comenzó con agitación seguida de coma y taquipnea con cianosis. Una nueva radiografía de tórax mostró infiltrados alveolares bilaterales (fig. 1C) y la exploración cutánea reveló un exantema petequial diseminado toracoabdominal (fig. 1D). Puesto que hubo una relación PaO2/FiO2 < 100, el paciente fue intubado y conectado a ventilación mecánica con FiO2 de 1 y PEEP + 10 cmH2O. El enfermo tuvo una evolución favorable, aunque presentó alteraciones de la conducta durante 2 meses. El diagnóstico fue embolia grasa con edema pulmonar y petequias diseminadas.
Figura 1.



