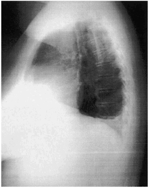
Mujer de 49 años con antecedentes personales de HTA y enfermedad pélvica inflamatoria sin secuelas. Ingresa por dolor abdominal, nicturia y edemas en miembros inferiores de 2 meses de evolución. En la ecografía realizada se apreció una masa abdominal de gran tamaño compatible con mioma uterino. Se intervino de forma programada con histerectomía total ampliada. Dos días después desarrolló hipotensión arterial, oliguria y marcado aumento de los edemas, por lo que finalmente fue preciso su ingreso en UCI. Destacaban signos de bajo voltaje en el ECG, mínima cardiomegalia y ligero derrame pleural derecho en la radiografía de tórax (figs. 1 y 2). Se realizó ecocardiografía transesofágica de urgencia donde se objetivó una masa en la aurícula derecha de 3,7 ×7 cm, de consistencia heterogénea, con punto de implantación en zona inferior del septo interauricular, que invadía el ventrículo derecho y ocupaba la mayor parte del anillo valvular auriculoventricular (fig. 3). La interpretación ecocardiográfica fue de trombo intracardíaco o mixoma auricular derecho. La paciente se intervino quirúrgicamente y se confirmó este último diagnóstico.
Figura 1.
Figura 2.
Figura 3.
										
				




 
		