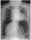
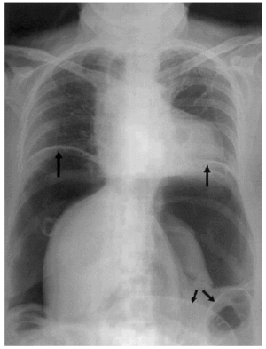
Se trata de una mujer de 56 años que presenta dolor abdominal cólico asociado a diarreas y heces mucosas valorada como gastroenteritis aguda. Por persistencia del cuadro, acude a urgencias 10 días después mostrando un abdomen distendido, no peritonítico. En la radiografía abdominal (fig. 1) se muestra neumoperitoneo masivo con desplazamiento diafragmático bilateral y dilatación colónica. La laparotomía exploradora mostró exudado purulento difuso, tumoración en sigma que se resecó realizándose colostomía terminal y perforación a nivel de colon ascendente que obligó a realizar cecostomía. El estudio anatomopatológico resultó compatible con adenocarcinoma mal diferenciado de sigma que infiltraba todas las capas de la pared cólica y la grasa pericólica junto con metástasis en 5 de los 9 ganglios linfáticos resecados, no hallándose evidencia de neoplasia en la perforación proximal.
El factor de impacto mide la media del número de citaciones recibidas en un año por trabajos publicados en la publicación durante los dos años anteriores.
© Clarivate Analytics, Journal Citation Reports 2025
SJR es una prestigiosa métrica basada en la idea de que todas las citaciones no son iguales. SJR usa un algoritmo similar al page rank de Google; es una medida cuantitativa y cualitativa al impacto de una publicación.
Ver másSNIP permite comparar el impacto de revistas de diferentes campos temáticos, corrigiendo las diferencias en la probabilidad de ser citado que existe entre revistas de distintas materias.
Ver más



