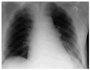
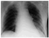
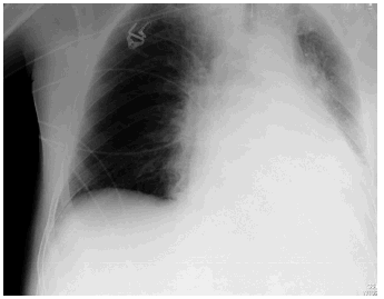
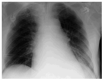
Paciente de 72 años de edad ingresado en Unidad de Cuidados Intensivos (UCI) con insuficiencia respiratoria global por una reagudización de enfermedad pulmonar obstructiva (EPOC). El paciente tiene dificultades para la desconexión de la ventilación mecánica por atelectasias de repetición y acidosis respiratoria grave. En la figura 1 se observa la radiografía de tórax en ventilación mecánica y en la figura 2 una de la imágenes de atelectasia al reducir el soporte ventilatorio. Se realizó electromiograma de diafragma mediante punción del pilar anterior por acceso retroesternal, en el que aparecieron datos de denervación (fibrilaciones y ondas rítmicas de denervación "marcadas con un circulo rojo") (fig. 3). El paciente fue dado de alta de UCI y del hospital con soporte ventilatorio parcial.
Figura 1.
Figura 2.
Figura 3.





