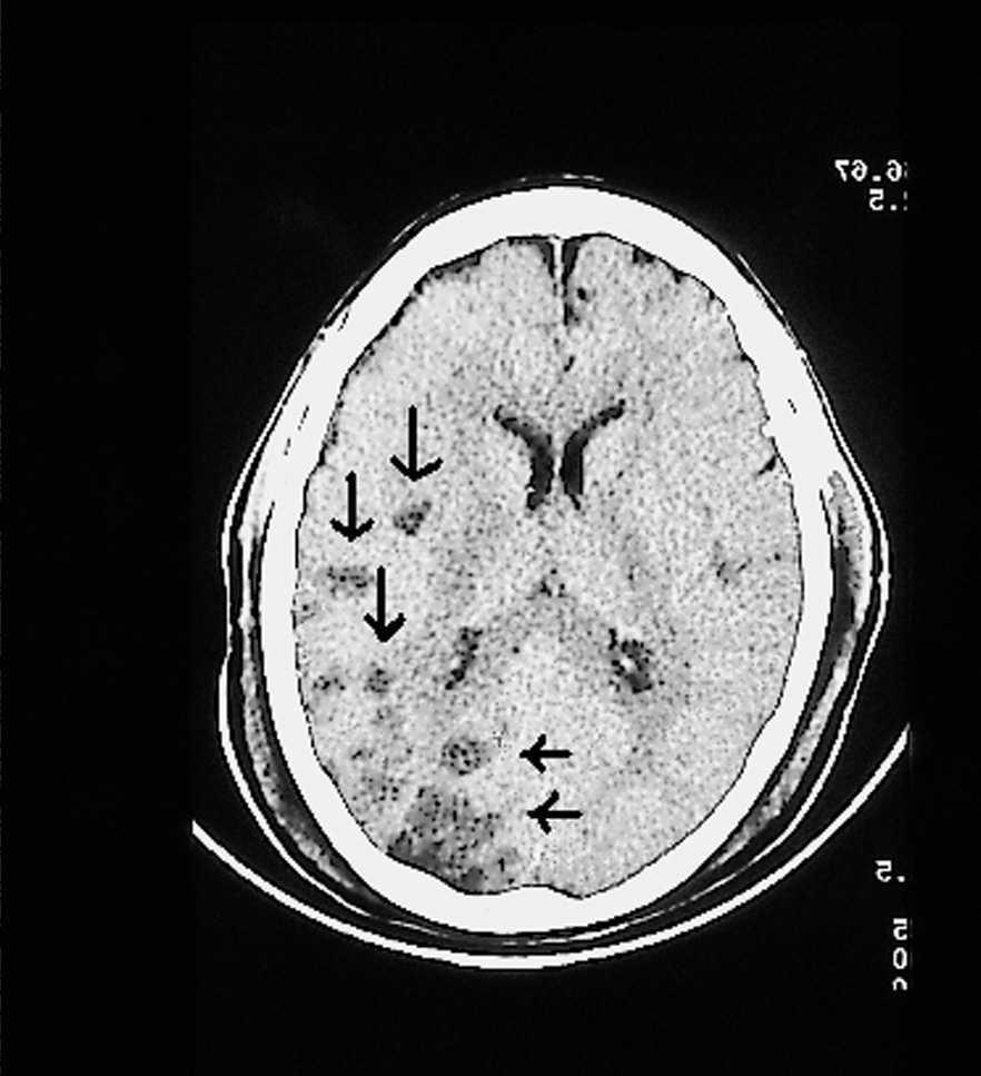
Mujer de 65 años, que ingresó en el Servicio de Medicina Intensiva diagnosticada de meningitis por Streptococcus pyogenes secundaria a otitis supurada y mastoiditis izquierda. Antibioticoterapia según antibiograma. Se realizó tomografía axial computarizada (TAC) por deterioro del nivel de conciencia compatible con meningitis. Tres días después presentó status convulsivo que fue tratado con inducción de coma barbitúrico; se realizó nueva TAC (fig. 1) sugerente de encefalitis necrotizante corticosubcortical temporooccipital izquierda secundaria a vasculitis o a trombosis venosa cortical. El octavo día de ingreso presentó anisocoria, por lo que se le realizó resonancia magnética (RM) (fig. 2) que demostró hematoma frontal izquierdo espontáneo que requirió drenaje quirúrgico. La enferma estaba recibiendo 80 mg/24 h de heparina sódica en perfusión continua por HDFVVC, con tiempos de cefalina en el rango normal. La paciente presentó mala evolución, falleciendo a los 20 días del ingreso tras limitación del esfuerzo terapéutico en el contexto de shock séptico refractario (cultivos necrópsicos en Pseudomonas aeruginosa en pulmón y serosa pleural) y fallo multiorgánico.
Figura 1
Figura 2
Diagnóstico: meningoencefalitis necrotizante secundaria a mastoiditis por S. pyogenes.




