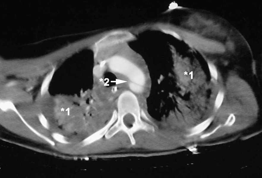
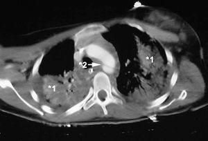
Mujer de 21 años sin antecedentes de interés que presenta politraumatismo tras accidente de tráfico. La paciente es recogida con Glasgow de 15 puntos precisando intubación y conexión a ventilación mecánica por insuficiencia respiratoria. En la tomografía axial computarizada (TAC) torácica de ingreso presenta contusión pulmonar bilateral (*1, fig. 1) y una imagen de "flap" intimal, a 2 cm de la salida de la arteria subclavia izquierda, de morfología irregular y con aumento de calibre compatible con rotura traumática de aorta torácica (*2, fig. 1). En la reconstrucción de la TAC también se aprecia dicha imagen de rotura traumática de aorta (fig. 2). Se procedió de manera urgente a la colocación por vía femoral de prótesis aórtica endovascular con buen resultado final.
Figura 1
Figura 2




