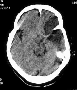
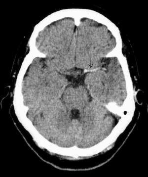
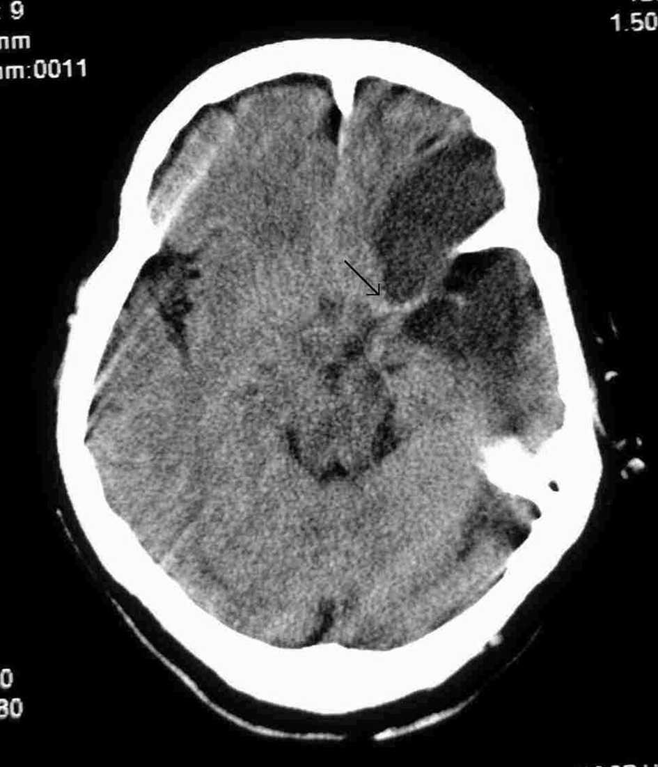
Paciente de 73 años con antecedentes de hipertensión arterial (HTA), diabetes no insulino-dependiente, hipotiroidismo, hipercolesterolemia y bronquitis crónica. Fue trasladada a nuestro hospital por el servicio de emergencias extrahospitalaria por un cuadro brusco de insuficiencia respiratoria y disminución del nivel de conciencia con hemiparesia derecha. A su ingreso en el hospital está intubada con Glasgow Coma Score (GCS) 6, presión arterial (PA): 240/100 mmHg, anisocoria con midriasis izquierda, hemiplejía derecha y Babinsky derecho. Se realiza tomografía axial computarizada (TAC) cerebral (fig. 1) que aprecia hiperdensidad de la arteria cerebral media derecha como signo precoz de lesión isquémica que todavía no se visualiza. Al ingreso en nuestra unidad se la mantiene sedada, en ventilación mecánica, controlando la PA y con tratamiento antiagregante. A las 48 horas se repite la TAC (fig. 2), observándose trombosis de la arteria cerebral media izquierda e hipodensidad frontotemporoparietal izquierda. Se mantiene consciente, afásica y hemipléjica pudiendo ser extubada y trasladada a planta. Posteriormente fallece por las secuelas de su enfermedad. El diagnóstico fue accidente cerebrovascular agudo (ACVA) isquémico y trombosis de la arteria cerebral media izquierda.
Figura 1
Figura 2




