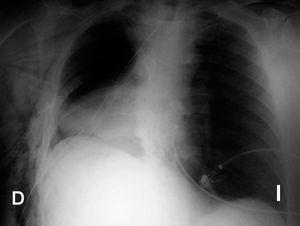
Varón de 70 años diagnosticado de carcinoma epidermoide de pulmón derecho en estadio prequirúrgico IIA. Es sometido a neumonectomía total, debiendo resecarse linfáticos homolaterales y pequeña «pastilla» pericárdica, por apreciarse infiltración tumoral macroscópica, colocándosele un parche sintético de Gore-Tex®. Durante el postoperatorio inmediato se detecta sangrado importante del lecho quirúrgico (fig. 1), procediéndose a la reintervención del paciente y realizándose hemostasia del lecho quirúrgico sin encontrarse ningún punto de sangrado activo.
Figura 1.
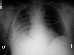
A las 24 horas del postoperatorio y tras extubar al paciente se detecta una imagen radiodensa de forma homogénea en la región inferior de hemitórax derecho (fig. 2) que hace pensar en un nuevo sangrado. En la exploración se aprecia un latido cardíaco débil en hemitórax izquierdo y mucho más intenso en lado derecho, con latido apical visible en sexto espacio intercostal derecho. En la ecocardiografía transtorácica se confirma la sospecha diagnóstica de herniación cardíaca a través de la ventana pericárdica. El paciente fue reintervenido para reintroducir los ventrículos en la cavidad pericárdica y el parche sintético fue sustituido por haber sufrido dehiscencia de suturas, lo que permitió la herniación. El paciente permaneció asintomático en todo momento.
Figura 2




