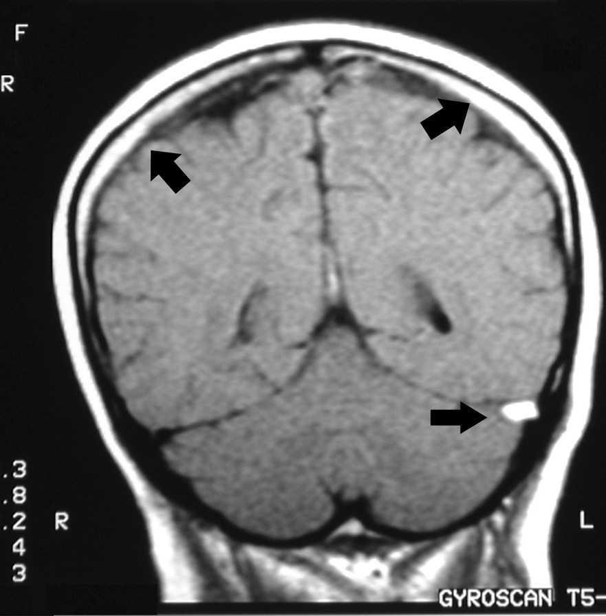
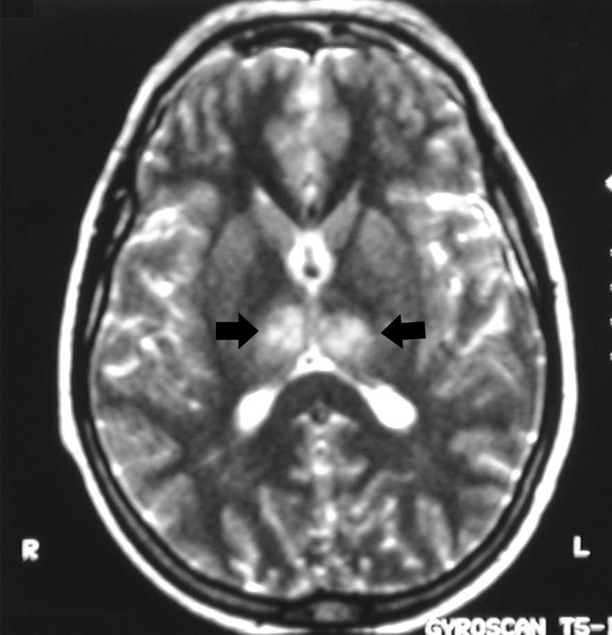
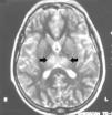
Se trata de una paciente de 58 años de edad, con antecedentes personales de hipertensión arterial, histerectomía y anexectomía bilateral, con síndrome menopáusico en tratamiento sustitutivo con raloxifeno (modulador selectivo de los receptores estrogénicos). Ingresa en nuestra Unidad por cuadro confusional de 48 horas de evolución, acompañado de trastornos del equilibrio e hiporreflexia en miembro inferior derecho. Se realiza tomografía axial computarizada (TAC) craneal de urgencia donde se aprecia hiperdensidad localizada en seno longitudinal superior (seno sagital) compatible con trombosis del mismo. Dado el anterior hallazgo, se efectúa una resonancia magnética nuclear (RMN) cerebral de urgencia, donde en imágenes potenciadas en T1, en los tres planos, se visualiza hiperseñal persistente a nivel del seno longitudinal superior, recto trasverso y sigmoideo izquierdo (fig. 1 [flechas negras]), acompañándose de edema en ambas regiones talámicas (fig. 2 [flechas negras]). Con todo ello se le diagnostica de trombosis venosa del seno longitudinal superior, recto trasverso y sigmoideo izquierdo, así como de edema bitalámico. La paciente recibió tratamiento con heparina sódica en perfusión continua, vasodilatadores para el control de la presión arterial, con mejoría clínica hasta alcanzar un GCS (Glasgow Coma Scale) de 15 puntos sin focalidad a los tres días de su ingreso. El raloxifeno fue suspendido, no recidivando el cuadro clínico.
Figura 1. Imagen potenciada en T1, hiperdensidad en seno longitudinal superior, recto trasverso y sigmoideo izquierdo.
Figura 2. Imagen potenciada en T1, hiperdensidad en ambas regiones talámicas




