INTRODUCCION
El trasplante hepático es hoy en día una técnica quirúrgica habitual en muchos hospitales y para un gran número de pacientes con insuficiencia hepática, su única opción terapéutica. La inmensa mayoría de los hígados trasplantados proceden de donantes fallecidos en muerte encefálica1-4. La escasez de órganos para trasplante ha motivado que en los últimos años los criterios de selección del donante de órganos se hayan modificado, y en la actualidad son aceptados donantes de mayor edad y en situaciones clínicas cada vez "más límite"5-9. Este hecho condiciona que un gran número de órganos sea descartado para trasplante tras la valoración macroscópica in situ que realiza el cirujano en el momento de la extracción.
Durante el año 2000 en España fueron extraídos 1.190 hígados, de los cuales 236 no fueron implantados, lo que supone la pérdida del 20,3%. De éstos, en el 80% (189) el hígado no fue trasplantado por presentar algún tipo de patología, de las que la más frecuente fue la esteatosis hepática (EH), 101 hígados (53,4%), lo que supone la primera causa de hígados contraindicados para trasplante10,11.
La EH se caracteriza por la acumulación de triglicéridos en los hepatocitos, fundamentalmente en la zona centrolobulillar12. Se diferencian dos tipos: la EH alcohólica13, cuya etiología es el consumo excesivo de alcohol etílico, y la EH no alcohólica14,15, que tiene entre sus principales causas la obesidad (80%), la diabetes mellitus (35%) y el aumento del colesterol, de los triglicéridos o de ambos (30%)16.
Para evaluar el valor diagnóstico de la tomografía computarizada (TC) abdominal en la EH, diseñamos un protocolo para el Diagnóstico de la Esteatosis Hepática Grave en el Donante de Órganos, que consistía en realizar una TC abdominal a todos los donantes multiorgánicos, con la que se quería averiguar la diferencia de densidad entre hígado y bazo que fuera diagnóstica de EH grave. Este diagnóstico fue confirmado en las biopsias hepáticas realizadas a esos mismos donantes por el equipo quirúrgico extractor.
MÉTODO
Estudio prospectivo realizado en una Unidad Polivalente de Medicina Intensiva de un hospital terciario universitario.
A los 48 donantes multiorgánicos consecutivos, ingresados en nuestro servicio desde agosto de 1999 hasta febrero de 2001, se les aplicó el protocolo de Diagnóstico de la Esteatosis Hepática Grave en el Donante de Órganos, que consistía en:
a) La realización de una TC abdominal (CT Sytec 3000 General Electric o Mx Twin Multislice Philips), con los brazos por encima de la cabeza para evitar la interferencia de los mismos en las lecturas de las densidades17. Se efectuaron cortes cada 10 mm desde la cúpula diafragmática hasta el polo inferior renal, sin administración de contraste oral ni intravenoso.
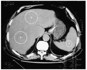
Desde la consola, con el cursor se marcaban 5-8 zonas en el hígado y otras 3-5 de igual superficie en el bazo, y el radiólogo de guardia leía la diferencia de densidades entre ambos en unidades Hounsfield (UH) (fig. 1). El número de zonas seleccionadas fue considerado como adecuado para esta valoración por el radiólogo encargado del estudio.
Figura 1. Imagen de la TC con valores normales de las densidades, medidas en unidades Hounsfield, del hígado y del bazo.
La TC fue reevaluada por otro médico especialista en radiodiagnóstico unas horas más tarde (ambos desconocían los diagnósticos clínicos del donante), y dado que las densidades del hígado y el bazo son similares (40-50 UH), se consideró como una TC normal cuando la diferencia de densidades entre el hígado y el bazo era menor de 4-6 UH. Se definió en la TC como una EH moderada cuando la diferencia de densidades entre el bazo y el hígado cuya densidad disminuye debido a la presencia de grasa era mayor de 10 UH y menor de 19 UH, y como EH grave cuando la diferencia era ≥ a 20 UH (fig. 2).
Figura 2. Imagen de la TC con valores patológicos de las densidades, medidas en unidades Hounsfield, del hígado y del bazo.
Asimismo se examinó el resto de la cavidad abdominal para descartar cualquier tipo de patología asociada que contraindicase la extracción de los órganos, y para valorar la arquitectura y morfología de los riñones, por si se evidenciase alguna anomalía por la que no pudieran ser utilizados para trasplante.
b) El cirujano del equipo de trasplante hepático que realizó la extracción tomó una biopsia del hígado del donante que se envió al Servicio de Anatomía Patológica de nuestro hospital.
La muestra obtenida (cuña o cilindro) se fijó en formol al 10%, realizándose cortes a 4-6 micras, tiñéndose por el procedimiento habitual para examen por microscopia óptica con hematoxilina-eosina, PAS, tricrómico de Masson, Guilder y Perl. Fue interpretada por el médico anatomopatólogo de guardia y reevaluada por otro especialista horas más tarde (los dos especialistas desconocían los diagnósticos clínicos y radiológicos del donante). En la valoración se consideró la esteatosis macro y microvesicular de forma separada y de forma global, no su localización zonal lobulillar. No se incluyó en este estudio la presencia de lipogranulomas, fibrosis, necrosis, núcleos glucogenados ni otras alteraciones sobreañadidas.
Se definió como EH leve la presencia de menos del 25% de hepatocitos afectados, EH moderada cuando están entre el 26 y el 50% y EH grave si más del 50%12,13,16.
RESULTADOS
Los dos radiólogos obtuvieron los mismos resultados, ya que las lecturas de las densidades del hígado y del bazo en la TC no son subjetivas, sino que es el propio aparato el que las presenta, y efectuar la diferencia de las densidades no se presta a confusión.
Los dos patólogos coincidieron en los diagnósticos en todos los casos de nuestro estudio.
En 31 de los 48 donantes estudiados la TC y la biopsia hepática fueron normales, es decir no hubo diferencia significativa entre las densidades del hígado y el bazo y en la biopsia no se encontró infiltración de grasa en los hepatocitos. En 6 de ellos la TC resultó normal, pero la biopsia mostró una EH ¾ 15% de los hepatocitos. En estos 37 donantes la densidad hepática media fue de 48 UH y la del bazo, 43 UH. Dos donantes con el diagnóstico de EH moderada en la TC diferencia de densidad hepatoesplénica > 10 UH y < 19 UH presentaban en las biopsias una EH macrovesicular del 20% y del 40%, respectivamente. En los 8 casos restantes, en los que se diagnosticó por la TC abdominal una EH grave, las biopsias confirmaron una EH macrovesicular superior al 50%, mientras la densidad media del hígado era muy baja (20 UH) y la del bazo, normal (43 UH).
En un donante la TC fue informada como sugestiva de hemocromatosis (densidad del hígado > 75 UH), pero con sideremia normal y sin historia clínica de dicha enfermedad. Reevaluado este diagnóstico por el segundo radiólogo, se concluyó que fue debido a un artefacto en la lectura de las densidades por colocar los brazos del donante a lo largo del cuerpo17 y no por encima de la cabeza, como estaba recomendado en el protocolo. La biopsia hepática descartó la presencia de una hemocromatosis hepática, así como de una EH. No se informó de la presencia de hierro en ninguna de las biopsias. Se encontraron un tumor suprarrenal en un donante y un tumor renal en otro.
DISCUSION
En España se generan más de 2.000 donantes al año. Los donantes en muerte encefálica se mantienen hasta la extracción de sus órganos en los servicios de medicina intensiva18-23. Por otra parte, casi el 70% de los coordinadores hospitalarios de trasplante son médicos intensivistas24, por lo que resulta evidente que son los especialistas en medicina intensiva los que tienen la competencia en la selección y en el mantenimiento del donante multiorgánico, así como en la decisión (compartida con los cirujanos trasplantadores y los coordinadores de trasplantes) sobre la validez y viabilidad de sus órganos.
El diagnóstico de la EH en pacientes con sospecha de hepatopatía crónica se ha venido realizando por medio de ecografía abdominal con unos resultados globales dispares16, ya que hay varias patologías crónicas que pueden alterar dicho diagnóstico12,16. Por otra parte es conocido que la fiabilidad de la técnica depende en gran medida de la pericia del explorador, por lo que nosotros decidimos validar una técnica alternativa de diagnóstico de las EH, dado el gran volumen de hígados que año tras año10,11 se desechan en España para su trasplante.
En los donantes de órganos no está descrita expresamente ninguna técnica para el diagnóstico de la EH, aunque en los Protocolos de Selección y Mantenimiento del Donante de Órganos se sugiere la realización de una Ecografía Abdominal como exploración global de la cavidad abdominal18,23,25,26.
En la TC abdominal el diagnóstico de la EH grave por la diferencia de las densidades entre el hígado y el bazo no depende de la pericia del médico radiólogo, sino que es el mismo aparato el que presenta las medidas de las densidades del hígado y del bazo, basándose en los controles de calidad que se realizan sistemáticamente en estos equipos.
En nuestra serie la correlación inversa es decir cuanta más EH existe, menor es la densidad hepática fue excelente. En este sentido, cuanto mayor fue la diferencia entre las densidades del hígado y el bazo, al disminuir la densidad hepática por los depósitos de grasa en los hepatocitos, mayor fue el grado de EH, pudiendo establecerse que diferencias ≥20 UH son diagnósticas de EH grave.
En un estudio experimental recientemente publicado Cheng et al27 corroboran estos mismos resultados y sugieren asimismo que es un método simple, práctico y no invasivo para descartar la presencia de EH macrovesicular grave en los donantes de órganos.
Sin embargo, esta técnica no fue capaz de discriminar la EH con el 15% o menos hepatocitos afectados. En cambio sí lo hizo con más del 20% de hepatocitos afectados, en los que la diferencia de densidades en la TC evidenció EH moderadas o graves, que se confirmaron con las biopsias hepáticas realizadas a los donantes. Dado que sólo las EH graves se desechan para trasplante, la sensibilidad y especificidad de la técnica que presentamos son del 100% para determinar la validez del órgano (tabla 1).
La elevada densidad hepática (> 75 UH) que en un donante hizo sospechar la existencia de hemocromatosis se debió a que, por un error, el sujeto no fue colocado en la mesa de la TC con los brazos por encima de la cabeza (no hacerlo altera la lectura de las densidades17). En este caso, la sideremia fue normal y en la biopsia hepática no se evidenció hemocromatosis ni EH.
Por último, esta técnica tampoco discrimina fácilmente la cirrosis hepática, aunque hay datos indirectos tanto de la exploración clínica como de la TC que pueden hacer sospechar su presencia. Cuando la relación entre lóbulo derecho y lóbulo caudado es igual o mayor de 0,65 este signo tiene una especificidad para la cirrosis hepática del 90%.
En conclusión, y aunque podrían ser necesarios más estudios para confirmar nuestros hallazgos, creemos que, antes de iniciar todo el dispositivo utilizado en el proceso de extracción y trasplante de órganos, se debería realizar una TC abdominal a todos los donantes. De esta manera se puede diagnosticar EH grave, la presencia de un tumor abdominal o de alguna otra patología que contraindique la extracción de órganos y su posterior implante. Mejorando la selección del donante, podemos contribuir a gestionar de una forma más eficiente los recursos humanos, técnicos y materiales de nuestros hospitales28, a la vez que evitaríamos molestias y ansiedad innecesarias al paciente receptor y sus familiares.





