INTRODUCCIÓN
El metanol es un alcohol tóxico asociado a exposición accidental o intencional. En humanos, la intoxicación es infrecuente y su toxicidad endógena pequeña. En algunos casos se pueden presentar ceguera permanente, disfunción neurológica y muerte. Pese al tratamiento enérgico, la mortalidad es de alrededor del 20% y una proporción similar tiene daño visual residual; el tratamiento tardío incrementa la morbimortalidad1,2.
El caso que presentamos corresponde a uno de los pacientes de intoxicación masiva por ingesta accidental en combinación con etanol en Pucalpa (Perú).
OBSERVACIÓN CLÍNICA
Varón de 44 años, sin antecedentes patológicos, que ingirió licor de dudosa procedencia en cantidad desconocida; por lo que inició un cuadro con cefalea, vómitos, vértigo y visión borrosa asociado a disnea progresiva y trastorno del sensorio.
Ingresó con hipotensión, escala de coma de Glasgow, 5, pupilas midriáticas, reflejo fotomotor y oculocefálico presentes.
Los hallazgos de laboratorio fueron: glucosa, 37 mg/dl; creatinina, 2,01 mg/dl; urea, 76 mg/dl, y acidosis metabólica grave (pH 6,16 y HCO3 4,4 mEq/l).
El manejo inicial fue: intubación orotraqueal, oxigenoterapia, glucosa intravenosa y fluidoterapia. La acidosis grave fue corregida con bicarbonato de sodio en bolos intravenosos (dosis total, 640 mEq), recibiendo, además, desde el ingreso, etanol al 40% a razón de 50 ml/h por sonda nasogástrica.
El estado neurológico mejoró, pero se evidenció una hemorragia digestiva aguda e insuficiencia renal aguda inicialmente no oligúrica, motivo por el que fue remitido a un centro de mayor nivel de resolución.
Fue hospitalizado en la unidad de cuidados intensivos (UCI) del Hospital Nacional Arzobispo Loayza, hallándose los siguientes problemas: alteración del sensorio (escala de Glasgow, 7) e insuficiencia renal oligúrica. Los exámenes iniciales revelaron: metanol sérico, 59 mg/dl; creatinina, 9,58 mg/dl; urea, 185 mg/dl; acidosis metabólica leve y perfil de coagulación normal (TP de 11s, INR de 0,95, TTP de 27s); la endoscopia digestiva alta no reveló sangrado, por lo que el paciente fue sometido a hemodiálisis y se mantuvo el etanol por vía enteral.
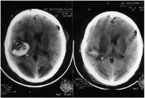
Al segundo día de hospitalización en la UCI aparecieron signos de focalización (anisocoria y hemiparesia izquierdas), por lo que se solicitó una tomografía axial computarizada (TAC) cerebral, hallándose hemorragia intraparenquimal corticosubcortical temporoparietal derecha con colapso ventricular y desplazamiento de la línea media, así como áreas isquémicas en los lóbulos occipitales y en los núcleos lenticulares (fig. 1).
Figura 1. Imagen pre y posquirúrgica de hemorragia intraparenquimal corticosubcortical temporoparietal derecha que causa colapso ventricular y desplazamiento de línea media. Se asocian áreas isquémicas en los lóbulos occipitales y en los núcleos lenticulares.
Por estos motivos, el paciente fue urgentemente intervenido, realizándose una craniectomía y la evacuación de hematoma intraparenquimatoso derecho (fig. 1).
Al cuarto día, el paciente inició una fase poliúrica de la insuficiencia renal, para revertir completamente en el transcurso de los días. Neurológicamente, la evolución fue favorable (escala de Glasgow, 15), con secuelas neurológicas motoras (hemiparesia izquierda) y oculares (atrofia de papila con amaurosis bilateral), estado en el cual fue dado de alta tras 20 días de hospitalización.
COMENTARIO
Pequeñas cantidades de metanol son eliminadas por el riñón y los pulmones, el 90 a 95% es metabolizado por el hígado; en el primer paso de esta degradación, el metanol es transformado a formaldehído por la enzima alcohol deshidrogenasa, el cual es convertido posteriormente de manera rápida a ácido fórmico por la aldehído deshidrogenasa. A través de una vía folato dependiente, el ácido fórmico es degradado a anhídrido carbónico y agua1,2.
El ácido fórmico es conocido como el metabolito activo más tóxico, actúa por inhibición de la citocromooxidasa mitocondrial, causando hipoxia citotóxica; además, la acumulación de ácido fórmico es la responsable primaria de la acidosis metabólica, causando depleción de bicarbonato. Esta acidosis asociada a la hipoxia citotóxica causa, a su vez, un incremento de lactato, pues el manejo hepático del lactato es pH dependiente, ya que el hígado se convierte en un órgano productor de lactato a valores menores de pH de 7, todos estos hechos contribuyen a la acidosis metabólica anión gap alta1,2-6.
La intoxicación por metanol puede comprometer cualquier sistema del organismo; gastrointestinalmente irrita la mucosa y produce náuseas, vómitos y dolor abdominal, llegando a presentarse cuadros de pancreatitis hemorrágicas7.
Cuando la ingesta es grande puede presentarse supresión de la función respiratoria con necesidad de intubación y ventilación mecánica; asimismo, puede afectarse la contractilidad miocárdica provocando arritmias y/o fallo cardíaco6.
Las manifestaciones neurológicas son comunes en pacientes con intoxicación por metanol; la cefalea es un síntoma precoz, presentándose posteriormente alteración del sensorio inespecífica, la cual puede progresar a sopor y coma. las convulsiones pueden ocurrir, generalmente, como complicación del daño metabólico o del parénquima cerebral. Como parte del cuadro clínico también puede ocurrir parkinsonismo o síndromes distónicos o hipocinéticos, y también se han comunicado casos de polineuropatía axonal en exposición crónica1,3,7.
El metanol afecta preferentemente los ganglios basales (comúnmente el putamen), evidenciándose en las intoxicaciones graves daño hemorrágico o isquémico, aunque se han descrito lesiones en otras áreas (sustancia blanca subcortical en núcleo semioval, neoestriado, hipotálamo, corteza cerebral). Estos hallazgos fueron descritos inicialmente en 1953, aunque el síndrome clínico asociado con estas lesiones fue descrito en 1988 por Phang et al. Con el uso de la tomografía computarizada y la resonancia magnética nuclear (RMN) se pueden revelar cambios en el sistema nervioso central, hecho que no es tan infrecuente, pues en una revisión de 45 casos observados en el Hospital de la Universidad de Alberta, de los 21 pacientes en los cuales se realizó TAC cerebral, 6 tuvieron tomografía normal, 7 tuvieron infarto en ganglios basales y 6 mostraron hemorragia intracerebral en el putamen2-4,7,8.
Los estudios por imágenes también han demostrado ser útiles para evaluar la evolución y establecer el pronóstico, principalmente en pacientes que presentan distonía o parkinsonismo. Se ha demostrado una correlación entre el pronóstico clínico y el grado de cambios necróticos en el putamen observados en la TAC o RMN3,4,7.
Los efectos de la hipoxia histotóxica, la acidosis metabólica grave y la hipotensión sistémica son los mecanismos por los cuales se producen los daños en el sistema nervioso central en zonas de alta demanda metabólica. La heparinización durante la diálisis puede causar hemorragia, pero se han observado lesiones hemorrágicas previa a la diálisis o en pacientes que no han sido sometidos a este procedimiento2-4,6,7.
Resultados experimentales sugieren que el metanol induce vasoespasmo cerebral como consecuencia de un gran incremento en el calcio intracelular. Este evento puede desempeñar un papel crucial en la producción del edema cerebral, hemorragia cerebral e infartos cerebrales y retinales. La deficiencia de magnesio potencia la respuesta contráctil del metanol en los vasos sanguíneos cerebrales9.
Lo que no se ha descrito es la necesidad quirúrgica en pacientes intoxicados por metanol que cursan con hemorragias intracerebrales, motivo por el cual presentamos el caso. Creemos que deben tenerse en cuenta similares criterios que para la evacuación quirúrgica de hematomas intracerebrales espontáneos.
Los objetivos de evacuar una lesión hemorrágica son: reducir el efecto de masa, bloquear la liberación de productos neuropáticos y prevenir la interacción entre el tejido sano y el hematoma. Sin embargo, el beneficio de la evacuación de hemorragias en ganglios basales, tálamo y zona pontina a través de cirugía abierta está oscurecido por el daño neuronal ocasionado durante la cirugía y la recurrencia del sangrado. Recientes estudios indican que la cirugía temprana no altera el pronóstico y tiene un mayor porcentaje de muerte o dependencia a los 6 meses. Pese a esto, se sugiere la evacuación quirúrgica abierta en pacientes seleccionados, como los que tienen hemorragia cerebelar cuyo diámetro exceda los 3 centímetros y la escala de Glasgow sea menor a 14. También se considera cirugía en pacientes jóvenes con hemorragia lobar moderada o grande con deterioro clínico y en pacientes con hemorragia de ganglios basales cuyo volumen sea mayor de 30 ml, en casos en que el hematoma presente crecimiento o se halle deterioro neurológico progresivo, como se presentó en el paciente10.
Actualmente, los estudios están orientados a la evacuación quirúrgica precoz con el uso de estereotaxia y endoscopia, métodos que permiten la evacuación del hematoma causando mínimo daño. Otra área de investigación actual es el uso de trombolíticos dentro del hematoma cada 6 a 8 h con la concomitante aspiración10.
El compromiso ocular se inicia con visión borrosa, con progresión a escotomas y fotopsias, desarrollándose ceguera. En los pacientes intoxicados por metanol debe realizarse el examen de fondo de ojo y agudeza visual, teniendo en cuenta que el examen puede ser normal aun en presencia de síntomas visuales. El examen de fondo de ojo revela inicialmente hiperemia del disco óptico, edema retiniano o papiledema; la atrofia óptica franca es un hallazgo tardío y sugiere un mal pronóstico para la recuperación visual4,8.
Se ha descrito que el mayor daño ocurre en la parte retrolaminar del nervio óptico con edema intraaxonal y destrucción de organelas. En la retina se han hallado nulos o pequeños cambios; la resonancia magnética nuclear en estadios subagudos ha mostrado significativa atrofia del quiasma óptico y los nervios prequiasmáticos4.
Al evaluar los mecanismos que producen daño ocular se ha identificado en la retina las enzimas alcohol y aldehído deshidrogenasa (necesarias para la interconversión de retinol y retinal), sugiriendo que la formación local de formaldehído y la generación de ácido fórmico son los responsables de la toxicidad ocular, causando desmielinización del nervio óptico y, en casos graves, digestión axonal5,8.



