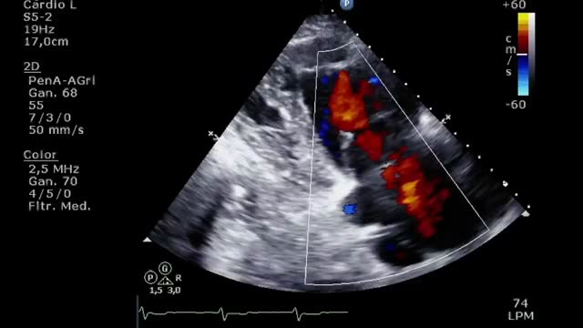
A 74-years-old man with a history of ascendant aortic dissection repaired 5 years ago and two mayor episodes of intrathoracic infection needing long-term antibiotic treatment, came to the ER for a presternal tumor. CT scan detected a preaortic mass suggestive of an aortic pseudoaneurysm. Surgery was planned but cancelled for mild respiratory infection, acute renal and hepatic failure, needing ICU admittance. In the ICU, the patient at physical exploration neck engorgement and pulsatility stood up (video 1). Vascular and cardiac bedside ultrasound showed a reversed systolic flow in the jugular veins (video 2) and a severe triscuspid regurgitation (video 3) secondary to pulmonary hypertension due to extrinsic compression of the psedoaneurysm over the pulmonary artery (white arrow in Fig. 1). The patient rejected aggressive treatment and passed away 2 days later.
El factor de impacto mide la media del número de citaciones recibidas en un año por trabajos publicados en la publicación durante los dos años anteriores.
© Clarivate Analytics, Journal Citation Reports 2025
SJR es una prestigiosa métrica basada en la idea de que todas las citaciones no son iguales. SJR usa un algoritmo similar al page rank de Google; es una medida cuantitativa y cualitativa al impacto de una publicación.
Ver másSNIP permite comparar el impacto de revistas de diferentes campos temáticos, corrigiendo las diferencias en la probabilidad de ser citado que existe entre revistas de distintas materias.
Ver másEl número medio de días que tarda un artículo desde su envío hasta la primera decisión editorial.
Ver más



