La necrosis cortical aguda (NCA) es una causa infrecuente de fracaso renal agudo (FRA), estimándose su frecuencia en alrededor del 2% en los países desarrollados1–4. Se asocia principalmente a complicaciones obstétricas (desprendimiento brusco de la placenta, muerte fetal intrauterina, hemorragia posparto, etc.), aunque se ha descrito también asociada a otras enfermedades, entre las que cabe destacar quemaduras extensas, sepsis, síndrome hemolítico urémico y gastroenteritis1–4.
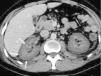
Presentamos un caso de FRA secundario a necrosis cortical bilateral en el contexto de una pancreatitis aguda grave (PAG). Se trata de un varón de 28 años de edad, sin antecedentes de interés a excepción de ser fumador. En abril de 2012 ingresa en la Unidad de Cuidados Intensivos (UCI) por pancreatitis aguda asociada a FRA anúrico. El paciente había acudido al Servicio de Urgencias 12h antes por cuadro de vómitos y dolor epigástrico con irradiación a hipocondrio derecho y región lumbar de 10h de evolución. A su llegada a Urgencias el paciente se encuentra hipotenso (93/34mmHg), con una frecuencia cardiaca de 55lpm, eupneico y saturando basalmente a 98%. En la exploración destaca dolor a la palpación en epigastrio e hipocondrio derechos. En la analítica destaca leucocitosis 19.100/μl, amilasa 787U/l, lipasa 11.606U/l, creatinina sérica 2,1mg/dl, urea 38mg/dl y lactato 2mmol/l, sin acidosis metabólica. La ecografía renal muestra riñones de tamaño normal con aumento de su ecogenicidad, indicativo de nefropatía médica, sin dilatación de la vía excretora. Con el diagnóstico de pancreatitis aguda y fracaso renal de probable origen prerrenal se inicia tratamiento con expansión volumétrica (3.000cc de cristaloides durante las primeras 12h), analgésicos, inhibidores de la bomba de protones y dieta absoluta. A las 12h de su llegada se avisa a la UCI por persistencia de anuria, ingresando en la Unidad. Se realiza TAC abdominal (con fase arterial y venosa tardía) con los siguientes hallazgos: páncreas globuloso con parénquima aparentemente conservado de densidad normal; aumento de densidad y trabeculación de la grasa peripancreática y líquido libre en el cuerpo y la cola del páncreas, ambas gotieras parietocólicas y pelvis menor, compatible con pancreatitis aguda; adecuada vascularización arterial y venosa, sin evidenciar afección en las arterias ni en las venas renales principales en el estudio arterial precoz y venoso portal; en el estudio venoso y tardío en ambos riñones se observa banda hipodensa, periférica, cortical, subcapsular, bilateral y simétrica que preserva la médula renal bilateral, hallazgos compatibles con NCA renal bilateral (fig. 1). Durante el ingreso en la UCI persiste en anuria, estando hemodinámicamente estable sin soporte vasoactivo y optimización del volumen intravascular, desarrollando acidosis metabólica (pH 7,30, HCO3 16,7mmol/l y exceso de bases −8,8mmol/l a pesar de la perfusión de bicarbonato), aumento progresivo de urea y creatinina (50 y 5,2mg/dl, respectivamente), e insuficiencia respiratoria secundaria a sobrecarga de volumen (pO2 55mmHg con aporte de oxígeno con mascarilla reservorio), requiriendo sesión de hemodiálisis con ultrafiltración de 2,5l a las 17h del ingreso, con mejoría clara de la situación respiratoria. Durante los 5 días de ingreso en la UCI persiste anúrico, requiriendo hemodiálisis diaria por uremia. Es trasladado a planta de Nefrología con el diagnóstico de PAG según la clasificación de Atlanta5 (Marshall modificado 9), y FRA anúrico secundario a probable NCA bilateral. Se realiza biopsia renal, que muestra un parénquima renal con una cortical con necrosis isquémica total; en las zonas más profundas se observa parénquima renal con cambios de necrosis tubular aguda, edema e inflamación intersticial, resultado que confirma el diagnóstico clínico de necrosis cortical o isquémica (fig. 2). Al recibir el alta hospitalaria se encuentra en situación de enfermedad renal crónica estadio 5, estando inicialmente en programa de hemodiálisis y posteriormente en programa de diálisis peritoneal. En marzo de 2014 recibe trasplante de donante vivo sin complicaciones. Al año del trasplante mantiene injerto normofuncionante con creatinina sérica de 1,46mg/dl y urea de 70mg/dl. Desde el punto de vista digestivo, en mayo de 2013 se realiza colecistectomía por episodios repetidos de pancreatitis aguda (octubre de 2012 y mayo de 2013) secundaria a microlitiasis biliar, quedando asintomático tras la colecistectomía.
El FRA aparece en el 3-8% de los pacientes con PAG, siendo un factor independiente de mal pronóstico6. Esta complicación suele aparecer en el seno de fracaso multiorgánico, siendo excepcional que ocurra en ausencia de fracaso respiratorio secundario a síndrome de distrés respiratorio agudo. En la inmensa mayoría de los casos se atribuye a necrosis tubular aguda como resultado de hipovolemia, respuesta inflamatoria sistémica con o sin infección sobreañadida y/o coagulación intravascular, siendo excepcional que se deba a NCA. Esta última se produce como consecuencia de una isquemia cortical tras la obstrucción de las arteriolas que irrigan la corteza renal. Dado que la necrosis de la corteza renal suele ser extensa y bilateral, se desarrolla insuficiencia renal aguda oligoanúrica. El diagnóstico de la NCA puede demostrarse por técnicas de imagen como la TAC, como ocurrió en nuestro caso, o la resonancia magnética nuclear, aunque es preciso la biopsia renal para su confirmación4,6,7. La gravedad de esta entidad radica en que el daño es permanente y, por tanto, la pérdida de la función renal es irreversible4. El único tratamiento a medio y largo plazo es la diálisis permanente y/o el trasplante renal.
El interés de este caso radica en la asociación de PAG y NCA. En la literatura, solo están descritos 10 casos de necrosis cortical renal asociada a PAG desde 19866,8–10. Esta complicación ocurre en pacientes jóvenes (edad media 26,16 años) y predominantemente en varones (66%), como en nuestro caso. Probablemente en estos pacientes se infravalore la depleción de volumen asociada a la PAG, siendo poco llamativa la hipotensión por una potente respuesta vasoconstrictora compensadora, mientras que la vasoconstricción renal por hipovolemia condiciona la isquemia cortical que, mantenida, deriva en la necrosis cortical. El 80% tienen buena evolución de la pancreatitis aguda, no así de su enfermedad renal, con desarrollo de enfermedad renal crónica terminal que precisa tratamiento renal sustitutivo.
FinanciaciónNi este estudio ni ninguno de los autores han recibido financiación alguna para su realización.
Conflicto de interesesNingún autor tiene conflicto de intereses en relación con este estudio.
A nuestro paciente y al personal que ha hecho posible este estudio.



