Mujer de 77 años, con antecedentes personales de fibrilación auricular, anticoagulada por este motivo, sufre una caída casual en su domicilio, hacia atrás, sin pérdida de conciencia. Acude al servicio de urgencias por sus propios medios, consciente, refiriendo dolor de cabeza y de cuello. Mientras espera valoración sufre un cuadro de insuficiencia respiratoria aguda, en relación con la obstrucción de vía aérea superior, por lo que precisa intubación orotraqueal urgente, la cual resulta dificultosa por desplazamiento traqueal.
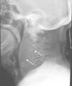
Se realiza radiografía lateral de columna cervical donde se objetiva fractura vertebral a nivel de porción anterior del cuerpo de la tercera vértebra cervical e importante hematoma prevertebral (fig. 1); hallazgos corroborados en el TAC cervical apreciándose como dicho hematoma comprime parcialmente la vía aérea (fig. 2).




