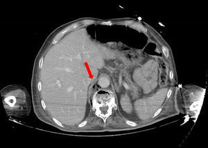
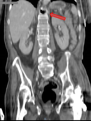
Paciente de 62 años con cuadro de astenia, febrícula y dolor lumbar de un mes de evolución, que ingresa por hipotensión arterial y oligoanuria. En la analítica destaca acidosis metabólica grave y fracaso renal agudo. Se realiza una TAC de abdomen, con presencia de múltiples burbujas aéreas localizadas en retroperitoneo superior, que parecían provenir del espacio interdiscal D10-D11, (figs. 1 y 2). La evolución posterior fue fatal, siendo exitus. El retroneumoperitoneo es un hallazgo radiológico poco frecuente, con sintomatología clínica larvada e inespecífica. La espondilodiscitis es también una infección infrecuente que afecta al cuerpo vertebral y espacios intervertebrales. Un diagnóstico precoz es fundamental para instaurar tratamiento adecuado y mejorar el pronóstico de esta enfermedad.
Al Servicio de Medicina Intensiva del Hospital Universitario Virgen del Rocío.




