Presentamos el caso de una mujer de 28años sin antecedentes médicos de interés que acude al servicio de urgencias por fiebre de 39°C de una semana de evolución tras la vuelta de un viaje a las islas Azores. Desde el inicio del cuadro presenta lesión ulcerosa con halo eritematoso perilesional en la espalda que evoluciona a costra necrótica. A pesar de iniciar tratamiento con cefadroxilo y antitérmicos, persiste con fiebre elevada asociando dolor abdominal. A su llegada a urgencias destaca abdomen doloroso de forma generalizada además de hipotensión arterial. Se solicita analítica urgente, con fracaso renal agudo (creatinina 1,83mg/dl), linfopenia (100), trombocitopenia (140.000), hipertransaminasemia con aspartato aminotransferasa (AST) 125UI/l y alanino aminotransferasa (ALT) 93UI/l, y elevación de proteínaC reactiva (PCR) 385mg/l, así como ecografía abdominal con hepatoesplenomegalia como únicos hallazgos. Iniciado rastreo microbiológico con serologías vírica y bacteriana, antígeno de Plasmodium y cultivos tanto del exudado de herida como de sangre; ingresa en la unidad de cuidados intensivos (UCI) para vigilancia y continuación del estudio.
Evolución inicial desfavorable, con fiebre elevada, dolor abdominal y empeoramiento respiratorio progresivo que requirió iniciar oxigenoterapia nasal de alto flujo. En la radiografía de tórax al ingreso comienza a apreciarse infiltrado intersticial con consolidaciones basales. Iniciamos cobertura empírica con ceftriaxona, cloxacilina y doxiciclina, a la espera de resultados y de la evolución. A las pocas horas de ingreso, en situación de insuficiencia respiratoria franca, precisa intubación orotraqueal urgente con hipoxemia refractaria a maniobras de reclutamiento alveolar, así como inestabilidad hemodinámica progresiva en situación de shock vasopléjico refractario con noradrenalina, vasopresina y corticoides; acidosis metabólica con hiperlactacidemia y oliguria. En disfunción multiorgánica (Sequential Organ Failure Assessment score [SOFA12]), se amplía la cobertura empírica con linezolid y meropenem, además de doxiciclina, iniciando técnicas continuas de depuración extrarrenal (hemodiafiltración) con anticoagulación regional con citrato. Posteriormente nos informan desde Microbiología de aislamiento en sangre de Chromobacterium violaceum, decidiendo asociar levofloxacino tras revisar la literatura, dado el perfil de resistencia de este microorganismo.
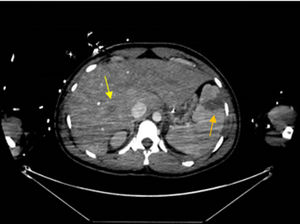
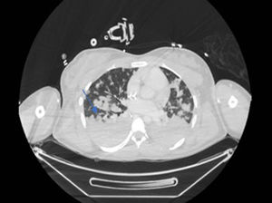
De forma paulatina la paciente va estabilizándose tanto desde el punto de vista respiratorio como del hemodinámico, permitiendo trasladarla para realizar estudio de extensión con tomografía axial computarizada (TAC), en el que se aprecian múltiples abscesos pulmonares (fig. 1), dos abscesos hepáticos e infarto esplénico (fig. 2)1; cráneo sin hallazgos.
A las 24 horas de su llegada obtenemos antibiograma de Chromobacterium violaceum, sensible a carbapenemes y quinolonas. El mismo germen fue aislado en exudado de la herida, así como en aspirado traqueal. Los niveles plasmáticos de meropenem fueron monitorizados, encontrándose tanto el nivel valle como los niveles al 50% de su administración en rango terapéutico para una concentración mínima inhibitoria (CMI) de 0,12.
La evolución clínica en los días siguientes fue favorable, retirando aminas vasopresoras y extubándose con éxito; de hecho, sin aportes de oxigenoterapia y con fracaso renal en resolución a su alta de la UCI. Fue dada de alta a los 12días a planta de hospitalización.
La infección en humanos por Chromobacterium violaceum es poco frecuente, pero con tasas de mortalidad descritas hasta del 65%. Se trata de un bacilo gramnegativo anaerobio atípico facultativo, un patógeno infrecuente, con menos de 300casos reportados en la literatura. Clásicamente, ha sido considerado un microorganismo endémico de zonas tropicales y subtropicales; la infección por esta bacteria ocurre, por lo general, luego de la exposición de heridas al agua o a suelos contaminados2.
Se presenta típicamente con infecciones de la piel o partes blandas que pueden asociar abscesos pulmonares, hepáticos, meningitis, osteomielitis, endocarditis y progresar rápidamente a disfunción multiorgánica, con alta letalidad3,4.
El tratamiento antimicrobiano óptimo y la duración del mismo no están del todo establecidos, pero puede ser complicado, dado que este microorganismo se caracteriza por presentar resistencia a muchos de los antimicrobianos de uso rutinario, como penicilinas y cefalosporinas5. Es generalmente susceptible a fluoroquinolonas, cloranfenicol, tetraciclina, trimetoprim/sulfametoxazol, carbapenemes y aminoglucósidos.
En conclusión, en el manejo de la sepsis por Chromobacterium violaceum, la sospecha clínica, el diagnóstico precoz y el tratamiento oportuno y adecuado son aspectos clave para garantizar la supervivencia. Son infecciones inusuales que requieren un alto índice de sospecha, especialmente si el paciente presenta antecedentes de actividades al aire libre, como contacto con aguas estancadas, ríos, lagunas o heridas y/o lesiones que pudieran ser la puerta de entrada6.




