El síndrome de Lemierre es una enfermedad poco frecuente secundaria a infecciones de cabeza y cuello, que característicamente causa tromboflebitis de vena yugular interna y metástasis sépticas a distancia1-3. La inusual forma de presentación de esta enfermedad4 y la ausencia de publicaciones con trombosis única de vena yugular externa nos anima a comunicar este caso de Síndrome de Lemierre, una enfermedad que por su baja frecuencia de presentación se considera «la gran desconocida»4.
Presentamos un caso de un varón de 45 años sin antecedentes de interés, que ingresa en la unidad de cuidados intensivos (UCI) por shock séptico y disfunción multiorgánica de foco no aclarado.
El paciente acude al Servicio de Urgencias por odinofagia de una semana de evolución, astenia, debilidad, y fiebre. A la inspección presenta ictericia mucocutánea, tumefacción temporoparietal derecha, edema palpebral, conjuntival y midriasis del mismo lado, asociado a desorientación y confusión. Los signos vitales son TA 99/52, FC 116lpm, Sat O2 96%. Analíticamente destacan leucocitos 27,9mil/mcL (N 94% L1%, M 2%), plaquetas 41mil/mcl, Urea 446mg/dl Creatinina: 5,44mg/dl, Na 133mEq/l (Na orina<20) PCR 198mg/dl, procalcitonina >200ng/mL., acidosis metabólica compensada con HCO3- 19,6mEq/l. Se realizó tomografía axial computarizada (TAC) craneal sin contraste que únicamente muestra aumento de partes blandas en región parietal derecha, y radiografía de tórax donde se observa infiltrado no confluente en zona parahiliar y lóbulo inferior derecho.
A su ingreso en UCI el paciente presenta fallo multiorgánico con fracaso renal agudo, inestabilidad hemodinámica y deterioro respiratorio progresivo con signos de infección sin foco séptico aclarado. Inicialmente se sospecha foco infeccioso pulmonar por lo que se inicia antibioterapia empírica con ceftriaxona y levofloxacino tras extracción de hemocultivos.
Los datos a la inspección hacen sospechar también foco infeccioso orofaríngeo, por lo que se realiza fibroscopia observándose hemorragia amigdalar derecha con exudado grisáceo en pared posterior de hipofaringe y cara laríngea de epiglotis, sin absceso y con posible celulitis de aritenoides. Se amplia cobertura antibiótica en espera de cultivos (faríngeo y sangre) sustituyendo tratamiento inicial por meropenem y daptomicina.
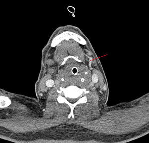
El paciente requiere durante las primeras horas amplia expansión de volemia, apoyo inotrópico, intubación orotraqueal y soporte respiratorio con ventilación mecánica. Tras la estabilización del paciente, nuevos controles radiológicos de cuello confirman la presencia de flemón en fosa amigdalar derecha que se extiende al espacio retofaríngeo, hipofaringe y espacios parafaringeo y masticador. Una TAC a la semana de evolución, muestra trombosis de la vena yugular externa derecha, en la región submandibular (fig. 1), siendo ambas venas yugulares internas permeables.
En los primeros hemocultivos extraídos en urgencias crece fusobacterium sp, confirmándose así el diagnóstico de síndrome de Lemierre con foco infeccioso amigdalar derecho.
Progresivamente se observa recuperación de los fracasos orgánicos, apareciendo a nivel pulmonar múltiples nódulos cavitados en campos superiores que sugieren émbolos sépticos (fig. 2).
Tras 15 días de ventilación mecánica el paciente es extubado con éxito, presentando posteriormente disfonía, diplopía en todas las direcciones de la mirada y paresia de miembro superior izquierdo de predominio proximal, por lo que se solicita exploración por parte de Otorrinolaringología y nuevo TAC craneal. En dichas exploraciones se observa flemón parafaringeo derecho en resolución y parálisis de cuerda vocal derecha en abducción con defecto de cierre glótico, así como absceso intraparenquimatoso en la región de núcleos de la base del lado derecho. Dados los hallazgos y la persistencia de signos de infección, se inicia tratamiento de rescate con metronidazol y fluconazol, (en ausencia de datos para candidiasis invasiva) manteniéndose tratamiento con meropenem. Por resonancia magnética se confirma la presencia de lesiones focales cerebrales intraparenquimatosas, lesiones temporales, frontales y en los núcleos de la base, acompañadas de realce dural y leptomeníngeo temporal derecho, con colección subdural acompañante, en relación con meningitis, cerebritis y abscesos. Es dado de alta a planta afebril, con normalización de signos de sepsis, tras 22 días de estancia en UCI.
En planta presenta artritis erosiva de articulación esternoclavicular derecha por extensión local y es dado de alta completando 9 semanas de tratamiento antibiótico con metronidazol y meropenem.
El síndrome de Lemierre es una enfermedad poco frecuente secundaria a infecciones de cabeza y cuello, más habitual en adolescentes varones (70%)1. Se describió en 1900 por Courmony and Cade y en 1936 el Dr. Lemierre lo define como «septicemia postanginas»1,2,5,6 que característicamente causa tromboflebitis de vena yugular interna y metástasis sépticas a distancia1,2,6.
Habitualmente se inicia con un cuadro clínico de fiebre y dolor faríngeo, siendo el foco inicial amigdalino o periamigdalino (87%)1–3,5. Progresivamente se extiende a tejidos parafaríngeos, provocando clínica secundaria como síndrome de Horner3,7, trismus, paresia de pares craneales bajos, etc. La progresión de la infección provoca tromboflebitis de vasos adyacentes, afectando con mayor frecuencia a la vena yugular interna1–3,5-7. Se han descrito poco casos que relacionen este síndrome con trombosis de la vena yugular externa como ocurre en nuestro paciente, aunque se sabe que puede afectar incluso a arterias cercanas, como la arteria carótida5. El microorganismo causal más frecuente es el fusobaterium necrophorum (81,7%), una bacteria anaerobia, bacilo gram negativo típico de la cavidad oral1,6. Las complicaciones sistémicas se producen por contigüidad o por diseminación metastásica del microorganismo vía sanguínea, afectando principalmente al pulmón (79,8%) y articulaciones (16,5%) en forma de artritis séptica1,3,6. Se ha publicado poco sobre la diseminación al sistema nervioso central en el síndrome de Lemierre, pero existen casos descritos de meningitis por fusobacterium en niños y casos de infartos cerebrales asociados2,4,6,8-10.
Aunque clásicamente se trató con penicilinas, se han observado cepas productoras de betalactamasas por lo que estas no se recomiendan como tratamiento empírico inicial1,2,8. Una buena opción terapéutica es administrar amoxicilina-clavulánico, piperacilina tazobactam o carbapenemes asociado a metronidazol o clindamicina1,2,5. En ocasiones en las que la respuesta al tratamiento antibiótico no es la esperada, se puede recurrir a cirugía ligando la vena trombosada1-3.
El pronóstico definitivo del síndrome de Lemierre depende definitivamente de establecer un diagnóstico precoz1,2,4,8.




