El soporte cardiopulmonar con una membrana de oxigenación extracorpórea (ECMO) es una práctica cada vez más frecuente en las Unidades de Cuidados Intensivos (UCI)1. Según el registro de la ELSO (Extracorporeal Life Support Organization), en el año 2016 se asistieron con ECMO a más de 2000 pacientes adultos con patología cardiaca, con una supervivencia media del 42%2. Puesto que la ECMO se implanta cuando se han agotado las medidas terapéuticas habituales en las UCIs, disponer de este nivel de soporte cardiopulmonar supone un salto muy importante en el manejo de los pacientes con shock cardiogénico refractario.
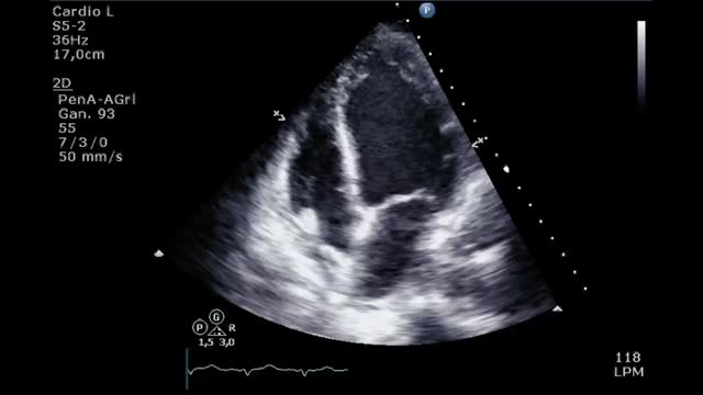
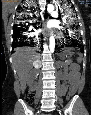
Presentamos el caso de una mujer de 41 años sin antecedentes de interés que consulta por un cuadro de 24 horas de evolución de malestar general, cefalea y palpitaciones. A su llegada a urgencias presentaba emergencia hipertensiva (180/100), clínica de hipoperfusión con hiperlactacidemia e insuficiencia respiratoria hipoxémica. Mediante TAC toraco-abdominal se objetivó una ocupación alveolar bilateral y una lesión hipercaptante en fase arterial en la glándula suprarrenal derecha de 4cm (fig. 1). En el ecocardiograma presentaba una hipoquinesia grave del ventrículo izquierdo (VI) respetando los segmentos apicales y una fracción de eyección (FE) del 17% (video 1).
En situación de shock cardiogénico y disfunción multiorgánica, con necesidad de ventilación mecánica invasiva y soporte con noradrenalina y dobutamina a dosis altas se trasladó a nuestro centro, donde se implantó una ECMO venoarterial (VA) femoro-axilar de forma emergente. Tras ello mejoró la disfunción multiorgánica y se retiraron totalmente las aminas, quedando la paciente con tendencia a la hipertensión arterial. Se solicitaron catecolaminas en orina (metanefrinas y normetanefrinas) que superaban 10-20 veces el valor de referencia, y se revisó la TAC confirmándose el diagnóstico de feocromocitoma (FC).
Tras 6 días de asistencia con la ECMO y de mejoría clínica, persistía la disfunción ventricular grave. Al no poder plantearse un destete de la asistencia ventricular, se decidió de manera multidisciplinar el abordaje quirúrgico del FC sin retirar la ECMO.
Previo a la intervención, solo se pudo realizar tratamiento acondicionador durante 4 días con fenoxibenzamina y esmolol, observándose una discreta mejoría de la función ventricular (FEVI 25%). La cirugía realizada fue una suprarrenalectomía derecha, y durante la manipulación del tumor la paciente presentó una nueva crisis adrenérgica con un nuevo empeoramiento de la FEVI (15%) y, tras resecar el tumor, nuevo cuadro de hipotensión grave con necesidad de soporte completo con ECMO para mantener una perfusión óptima. En los días posteriores, presentó una rápida mejoría de la función ventricular izquierda, permitiendo la retirada de la ECMO tras 12 días de soporte.
Como complicaciones asociadas, la paciente presentó una trombopenia asociada a heparina que obligó a tratamiento anticoagulante con argatrobán durante la terapia con ECMO, una infección respiratoria por E. coli y Aspergillus spp. que se resolvieron con tratamiento antimicrobiano dirigido y una tetraparesia grave con afectación motora-axonal que se recuperó lentamente con fisioterapia. Tras 40 días de ingreso, la paciente se trasladó a planta y a los 49 días a su domicilio. El estudio ecocardiográfico se normalizó y la anatomopatológica confirmó el diagnóstico de FC.
La miocardiopatía de estrés (ME) o también conocida como síndrome de Tako-Tsubo es una patología ampliamente descrita, suele tener una presentación aguda imitando a un síndrome coronario agudo y se suele asociar a un estrés emocional3. Para su diagnóstico en el ecocardiografía se observan alteraciones segmentarias de la contractilidad más allá del territorio de una arteria coronaria, siendo necesario descartar la presencia de enfermedad coronaria, miocarditis o FC4. Suele presentar un pronóstico favorable, de modo que sólo un 10% desarrolla clínica de shock cardiogénico y menos del 5% fallecen5.
La presentación de un FC como una ME es una entidad poco frecuente en la literatura y menos aún como Tako-Tsubo invertido6,7. Analizando los casos publicados, la ME asociada a un FC se presenta más frecuentemente en pacientes jóvenes, no suele asociarse a factores estresantes como desencadenantes del cuadro, y se relaciona con un mayor número de complicaciones (shock cardiogénico, arritmias e incluso PCR)6.
El uso de la ECMO como medida de soporte vital en pacientes con shock cardiogénico secundario a FC es escaso y se basa como mucho en series casos8,9. En el registro multicéntrico realizado en Francia por Sauneuf et al10 desde enero de 2000 hasta diciembre de 2015, se registraron 34 casos, de los cuales solo 14 (41%) requirieron soporte con ECMO VA para la estabilización hemodinámica. Estos pacientes presentaron una mayor gravedad, estancia más prolongada, mayor tratamiento de soporte (aminas y ventilación mecánica) y hasta 5 casos presentaron complicaciones asociadas a la ECMO. Pese a ello un 75% de los pacientes sobrevivieron y todos ellos recuperaron la función ventricular sin necesidad de trasplante u otra asistencia ventricular10.
En este grupo de pacientes, se recomienda que la cirugía del FC se posponga hasta varias semanas, una vez se haya realizado el tratamiento acondicionador previo de modo correcto, y es excepcional la exéresis bajo soporte circulatorio con ECMO. En nuestro caso, se decidió una actitud quirúrgica urgente por la escasa mejoría de la disfunción cardiaca y las complicaciones ya desarrolladas asociadas a la ECMO, sin permitirnos una óptima protección farmacológica. La cirugía con la ECMO permitió controlar las alteraciones hemodinámicas que se preveían con la manipulación del tumor, tanto en la descarga catecolaminérgica como en el profundo shock posterior, secundario a vasoplejía y nuevo deterioro profundo de contractilidad miocárdica.
El curso clínico de hipertensión arterial y disfunción sistólica, y la presentación ecocardiográfica atípica orientó a revisar los hallazgos de la TAC que fue el método diagnóstico de FC. El estudio de catecolaminas en orina suele tardar varios días o incluso semanas lo cual supone un retraso inviable en casos extremos como fue nuestro caso.
En pacientes con ME asociada a FC el uso de la ECMO, no exenta de riesgos, es una medida de soporte circulatorio óptima, que permite la recuperación miocárdica, orgánica e incluso puede ayudar a asistir hemodinámicamente el momento de la resección tumoral.
Conflicto de interesesLos autores declaran no tener ningún conflicto de intereses.



