Sr. Director:
El papel de la fibrinolisis en la tromboembolia pulmonar (TEP) aguda sigue siendo controvertido; la mayoría de los autores limitan la indicación a pacientes con TEP masiva. Analizamos el caso de un varón de 48 años de edad que presentó, en el plazo de 2 semanas, sendos episodios de TEP masiva. En las dos ocasiones fue tratado con fibrinolisis (r-TPA), dado el compromiso hemodinámico y respiratorio que presentaba el paciente.
Se trataba de un varón de 48 años de edad, sin antecedentes familiares ni personales de interés, deportista en activo (realiza 4 a 5 h diarias de deporte), sin hábitos tóxicos, que en los 3 meses previos al ingreso había experimentado 3 episodios de sensación de fatiga, de una semana de duración, autolimitados (tomaba paracetamol), sin ningún otro síntoma acompañante (nunca tuvo fiebre, tos, expectoración, dolor torácico, ni opresión; no había clínica urinaria, digestiva ni síntomas de ningún tipo).
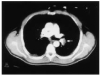
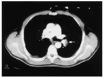
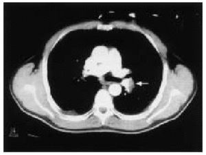
Debido a un nuevo episodio similar a los previos, acudió al servicio de urgencias de nuestro hospital. La exploración sistémica fue normal; en la radiografía de tórax se observaban 2 pequeños infiltrados en ambos lóbulos superiores, y en la gasometría la PaO2 fue de 56 mmHg; la PaCO2 de 27 mmHg y el pH de 7,49. En el electrocardiograma (ECG) se apreciaba una onda T negativa de V1 a V4. El hemograma, la bioquímica y el estudio de coagulación fueron normales. Se realizó una gammagrafía de ventilación-perfusión en la que se objetivó un déficit completo de perfusión del pulmón izquierdo (fig. 1). La tomografía computarizada (TC) helicoidal reveló una imagen compatible con un trombo en la arteria pulmonar izquierda y dos infiltrados triangulares de base periférica en LSD y LMD (fig. 2). En el ECO-Doppler de las extremidades inferiores no se objetivaron trombos en ninguna zona, con dilatación de las cavidades derechas y presión sistólica en la arteria pulmonar de 39 mmHg.
Figura. 1. Gammagrafía de perfusión. Se aprecia la ausencia de perfusión del pulmón izquierdo.
Figura 2. TC torácica. Imagen compatible con un trombo en la arteria pulmonar izquierda.
Permaneció estable hemodinámicamente (presión arterial de 110/60 mmHg; frecuencia cardíaca de 70-80 lat/min en RS) y con una SatO2 en torno al 95-97% con oxígeno por mascarilla al 40%. Con el diagnóstico de TEP masiva se realizó fibrinolisis con r-TPA (100 mg en 2 h). No hubo complicaciones y la rápida mejoría clínica (desapareció la disnea, frecuencia cardíaca de 40 lat/min; SatO2 del 100% con oxígeno a 2 l/min por gafas nasales) se comprobó con la realización de nueva gammagrafía y TC, en los que se constató la disolución del trombo y la reperfusión del pulmón izquierdo. Se continuó tratamiento con heparina sódica y posteriormente dicumarínicos orales (tasa de protrombina 30%; INR = 2,1). Tras 2 semanas de tratamiento fue dado de alta a su domicilio. Durante el ingreso se realizaron los siguientes estudios: estudio de hipercoagulabilidad, que fue normal; se descartó neoplasia subyacente (TC de tórax, abdomen y pelvis; ecografía abdomen y pelvis; gammagrafía ósea; marcadores tumorales); se descartó foco embolígeno (ECO-Doppler de miembros inferiores, flebogammagrafía; iliocavografía) y se descartó enfermedad reumatológica.
A los 3 días del alta acudió nuevamente a urgencias por la reaparición de la disnea; se comprobó una insuficiencia respiratoria grave (PaO2 de 37 mmHg; PaCO2 de 27 mmHg; pH de 7,47), por lo que fue ingresado en la unidad. Se realizó una gammagrafía, en la que se evidenció nuevamente ausencia de perfusión en el pulmón izquierdo y defectos segmentarios derechos, y TC helicoidal en el que se comprobó un defecto de repleción que obstruía completamente la arteria pulmonar izquierda asociado a defectos de repleción en la arteria pulmonar derecha. Se decidió realizar una nueva fibrinolisis con r-TPA, comprobándose de nuevo una mejoría clínica y repermeabilización de la arteria pulmonar por TC y gammagrafía. Se continuó el tratamiento con heparina sódica y posteriormente con dicumarínicos, ajustada la dosis para un INR más alto, asociado a ácido acetilsalicílico. La evolución clínica fue favorable. Con el paciente ya estable se realizó un ecocardiograma transesofágico, en el que se comprobó una imagen compatible con un trombo o mixoma en la aurícula derecha; se realizó una angiorresonancia en la que se comprobó una imagen compatible con trombo en resolución en la aurícula derecha.
Dieciocho meses después del alta el paciente permanece asintomático, sin limitaciones para su actividad física, incluida la práctica deportiva, con una SaO2 del 98% y frecuencia cardíaca en torno a 45 lat/min y sin evidencia de enfermedad asociada.
Sigue en discusión el uso de la fibrinolisis en la TEP1. Algunos autores limitan su uso a pacientes en shock2, otros amplían la indicación a los que presentan disfunción del ventrículo derecho3, si bien la mayoría de los autores limitan la indicación a pacientes con TEP masiva, definida por inestabilidad hemodinámica, hipoxia grave, oclusión de la arteria pulmonar mayor del 40% u oclusión de dos o más arterias lobulares4.
La interpretación clínica del caso podía llevar inicialmente a infravalorar la gravedad del cuadro; por eso se puso entre comillas "estable hemodinámicamente" al describir el caso. Un varón sano, joven, deportista en activo, con gran reserva cardiorrespiratoria mantenía unas constantes (presión arterial, frecuencia cardíaca y SaO2) dentro de límites prácticamente normales, si bien su frecuencia cardíaca basal, una vez resuelto el trombo, era de 40-45 lat/min.
Se descartaron todos los factores predisponentes de TEP5, tanto genéticos (estados de hipoercoagulabilidad, aunque el significado de estos estudios con el paciente anticoagulado es dudoso), como adquiridos.
La recidiva de la TEP sucede, como en este caso, durante las primeras 2 semanas y la causa más frecuente es una anticoagulación insuficiente, aunque no hay explicación para la recidiva de la embolia al estar correctamente anticoagulado con dicumarínicos (INR = 2,1). Existe un consenso sobre la eficacia de la fibrinolisis, que consigue generalmente una resolución del trombo, con la consiguiente mejoría clínica, hemodinámica y de las alteraciones de la TC, más rápida y eficaz que con heparina sola. Pese a ello, no se ha demostrado un beneficio en la mortalidad con el uso de fibrinolíticos frente a heparina en la TEP. La hemorragia intracraneal es probablemente la causa de que no se hayan encontrado diferencias significativas en cuanto a la mortalidad.
Las indicaciones de fibrinolisis en la TEP no están tan bien establecidas como en la cardiopatía isquémica. Además de la hemorragia intracraneal, otro de los argumentos para no hallar diferencias con la heparina sola es que, mientras en la cardiopatía isquémica se conseguiría una disolución completa del trombo, en la TEP, al ser trombos más antiguos y organizados, es más frecuente la disolución parcial del trombo1. En este caso no se hizo arteriografía de control, pero los datos de la gammagrafía y de la TC sugieren, efectivamente, una disolución parcial del trombo; de hecho, quedó un pequeño defecto de perfusión en la língula. No obstante, éste parece un caso evidente en el que la fibrinolisis salvó la vida del paciente. En la bibliografía revisada no se ha encontrado un caso similar que obligue a realizar 2 fibrinolisis en tan corto período. El r-TPA fue eficaz, seguro, no hubo incidencias, por lo que se llama nuevamente la atención sobre la necesidad de estudios amplios que permitan sentar indicaciones más rigurosas y, probablemente, menos restrictivas en la TEP.




