INTRODUCCION
El desarrollo de las técnicas de monitorización invasiva, y la necesidad de conseguir accesos venosos seguros y duraderos, hace cada vez más necesario el uso de catéteres venosos centrales (CVC) en pacientes pediátricos. Como consecuencia de ello, es más frecuente la aparición de cuadros de trombosis agudas con el riesgo de producir embolismos pulmonares o síndromes postrombóticos. El principal factor de riesgo identificado en la producción de trombosis venosas de niños es la presencia de un CVC1-3.
La clínica derivada de la obstrucción venosa es secundaria a la dificultad de su retorno (cambios en la coloración, temperatura y edema del miembro afectado), asociado a un posible aumento compensatorio de la red venosa superficial.
Su diagnóstico se basa en la sospecha clínica apoyada en medios de imagen como eco-Doppler, flebografía o tomografía computarizada (TC), igualmente útiles para su seguimiento4,5.
Entre los tratamientos existen diferentes alternativas: heparina, activador recombinante del plasminógeno, urocinasa (UK) y estreptocinasa1,5. Debido a las escasas referencias bibliografías sobre utilización de fibrinolíticos en niños, su manejo ha de ser extrapolado, en gran medida, de la casuística de pacientes adultos1,2.
El objetivo de este trabajo es presentar nuestra experiencia con infusión de UK, en 4 niños con trombosis venosa secundaria a CVC con acceso femoral.
OBSERVACION CLINICA
Caso clínico 1
Se trata de una niña de dos años y 15 kg de peso con insuficiencia respiratoria grave, secundaria a neumonía intersticial. Al segundo día de la canalización de la vena femoral derecha (catéter 5,5 F) se apreció edema, frialdad, disminución del retorno venoso y coloración cianótica en ambos miembros inferiores. La eco-Doppler demostró la presencia de una trombosis de ambas venas ilíacas y cava inferior hasta 3 cm de la entrada en aurícula derecha, ocluyendo prácticamente la totalidad del vaso (fig. 1). Se inició tratamiento con heparina de bajo peso molecular (dosis de 1 mg/kg), durante 7 días. Ante la persistencia de la clínica y la ausencia de cambios ecográficos, se asoció UK (bolo inicial de 4.400 U/kg y posterior perfusión continua de 4.000 U/kg/h) durante 5 días. Tras confirmar su resolución clínica y ecográfica, se suspendió el tratamiento. Como efecto secundario presentó, durante la fase final del tratamiento, una leve hemorragia en la boca y las fosas nasales asociada a un descenso del fibrinógeno y trombopenia, sin alteración de los tiempos de coagulación (tabla 1), que remitió al suspender el tratamiento.
Fig. 1. Eco-Doppler del paciente 1. Se observa la vena cava inferior con un trombo adherido al catéter venoso central, a pocos centímetros de la entrada en la aurícula derecha.
Caso clínico 2
Se trata de una niña de 6 meses y 4,5 kg de peso con cuadro de malnutrición y deshidratación grave (12% del peso corporal) secundaria a gastroenteritis invasiva por Salmonella tiphymurium. Se canalizó la vena femoral derecha (catéter 4,5 F), presentándose a las 24 h edema, frialdad y cianosis en dicha extremidad, atribuidos inicialmente al catéter y motivo por el que fue retirado. Debido a la persistencia de la clínica, se realizó una eco-Doppler, que objetivó un trombo en la vena ilíaca primitiva y externa derecha sin afección de la vena cava inferior. Se inició tratamiento con UK (bolo de 4.400 U/kg y mantenimiento en perfusión continua a 4.000 U/kg/h) durante 3 días, consiguiendo una recanalización parcial al finalizar el tratamiento, y completa 4 días después. No se objetivaron efectos clínicos secundarios. Precisó transfusión de un concentrado de hematíes por un cuadro anémico previo (tabla 1).
Caso clínico 3
Se trata de un niño de 7 años y 23 kg de peso con encefalopatía grave. Durante la colocación de un CVC (5,5 F) en la vena femoral derecha no fue posible la introducción de la guía metálica más de 5 cm ni la canalización contralateral. En los días posteriores, se constató un discreto aumento de la red venosa superficial de la pierna izquierda sin otros signos de compromiso venoso. La eco-Doppler evidenció un trombo en la vena ilíaca y femoral izquierda, extendiéndose hasta 6 cm de la aurícula derecha. Se inició tratamiento con UK (bolo de 4.000 U/kg y perfusión continua a 5.000 U/kg/h) asociando heparina de bajo peso molecular a dosis de 1 mg/kg. Debido a las alteraciones en la coagulación (tabla 1) que propiciaron una hemorragia gástrica, una hemorragia a través del tubo endotraqueal con las aspiraciones y una hematuria macroscópica, se retiró el tratamiento a las 48 h, cediendo la clínica sin precisar medidas adicionales. En la ecografía de control a las 24 h se comprobó la desaparición del trombo, manteniéndose una disminución relativa del flujo a través de la vena ilíaca izquierda.
Caso clínico 4
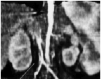
Se trata de un lactante de 3 meses de edad y 4 kg de peso ingresado por bronquiolitis grave con atelectasia parcial del pulmón derecho y apneas recidivantes. Durante la realización de una angiografía-TC (fig. 2) por sospecha de hipertensión portal, se observó una trombosis de la vena ilíaca derecha y la cava inferior hasta 2 cm de la entrada en la aurícula derecha, siguiendo el trayecto del CVC femoral derecho que había sido canalizado una semana antes. No presentaba clínica de obstrucción venosa evidente. Se inició tratamiento con UK (bolo de 4.400 U/Kg y perfusión continua a 5.000 U/kg/h), suspendiéndose a los 5 días tras confirmar su resolución ecográfica. Como efecto secundario se observó un descenso transitorio del fibrinógeno sin repercusión clínica (tabla 1).
Fig. 2. Angiografía-TC del paciente 4. La flecha señala la localización del trombo en la vena cava inferior, adherido y siguiendo el trayecto del catéter venoso central.
COMENTARIOS
Las trombosis asociadas a CVC son complicaciones cuya reversibilidad depende de la precocidad en la instauración de la terapia fibrinolítica1. Aunque la heparina es el fibrinolítico mejor conocido y de más aceptado uso, la UK es el tratamiento de elección en pacientes pediátricos de centros hematológicos y oncológicos, portadores de CVC de larga duración, y es un método no invasivo efectivo para la recanalización de estos CVC, catéteres de hemodiálisis y fístulas ocluidas por fibrina3,4,6.
Los estudios en pacientes adultos con trombosis secundarias a CVC demuestran que la UK es un tratamiento efectivo, con pocos riesgos hemorrágicos, siendo el agente trombolítico más adecuado por su especificidad y su rápida acción4,5. Estudios realizados en neonatos, donde el principal factor de riesgo secundario identificado es la cateterización umbilical, confirman la eficacia de la UK sin efectos secundarios importantes7,8. En nuestra serie, la UK ha demostrado una alta eficacia en el tratamiento de las trombosis venosas profundas.
Las dosis y el tiempo de infusión varían según las referencias consultadas1,4,7. La pauta más aceptada se inicia con un bolo de 4.400 U/kg en 10-15 min y, posteriormente, una perfusión continua de: 4.000-5.000 U/kg/h, durante más de 12 h (generalmente entre 48 y 96 h), dosificación que seguimos en nuestra unidad. La duración del tratamiento debe ajustarse en función de la respuesta clínica, ecográfica y la aparición de complicaciones. En nuestra serie, se consiguió la disolución del trombo entre el segundo y quinto día de tratamiento. La recanalización observada en el paciente 2 tras finalizar el tratamiento podría justificarse por el progresivo aumento de flujo venoso y no por la persistencia del efecto trombolítico, dada la corta vida media del fármaco.
La utilización de UK evitó la trombólisis quirúrgica y la implantación de filtros vasculares, a pesar de que en 2 casos la extensión del trombo afectaba a gran parte de la cava inferior. También se evitó la retirada del catéter como clásicamente se recomienda en estos casos6,8, dato importante, teniendo en cuenta que la canalización de nuevos accesos venosos puede ser dificultosa en niños críticamente enfermos.
Es interesante destacar que el tratamiento con UK se inició en uno de los casos tras 7 días de terapia inefectiva con heparina de bajo peso molecular. Esta evolución, nos hace pensar que la UK podría constituir una buena opción terapéutica en aquellos casos de diagnóstico tardío.
En ninguno de los pacientes fue necesario repetir el ciclo fibrinolítico, ya que no se constataron recidivas en el mismo catéter ni en recambios posteriores, a pesar de no haber continuado con un ciclo de anticoagulación oral, como recomiendan algunos autores tras la disolución del trombo1,4,5. El tratamiento con acenocumarol no es utilizado de forma sistemática, al desconocerse sus efectos secundarios a largo plazo en niños3,6.
Tampoco utilizamos UK de forma profiláctica como sugieren recientes estudios, que demuestran su utilidad a bajas dosis en catéteres tunelizados9. Consideramos que esta terapia profiláctica no aporta beneficios en el mantenimiento de los CVC utilizados en las UCI pediátricas, ya que el tiempo medio de mantenimiento no es muy prolongado y la incidencia de trombosis venosa es baja (9 ± 7 días y 1,33%, respectivamente, en nuestra casuística).
La infusión de UK presentó pocos efectos indeseables, la mayoría en forma de hemorragia tardía (sangrados por puntos de punción, por sonda vesical, boca, fosas nasales o tubo endotraqueal, como se ha comentado en los casos 1 y 3) que revirtió al finalizar el tratamiento sin precisar medidas extraordinarias. Analíticamente hemos encontrado alteraciones tardías de la coagulación (descenso del fibrinógeno y alargamiento del tiempo parcial relativo de tromboplastina) autolimitadas a la duración del tratamiento. El descenso del fibrinógeno puede ser un indicador de la acción fibrinolítica de la UK y de utilidad para individualizar su dosificación1, aunque observamos que se puede obtener buena respuesta sin su monitorización.
La UK es un medicamento de fácil manejo que requiere una mínima monitorización, tiene una relación riesgo-beneficio muy favorable, un bajo porcentaje de complicaciones y una rápida acción y reversión del efecto, siendo una alternativa efectiva al recambio del catéter1,3,4,6.
Debido a que las recomendaciones terapéuticas han de ser extrapoladas de estudios sobre pacientes adultos, las futuras investigaciones deberían ir encaminadas a definir un tratamiento óptimo, así como medidas profilácticas adecuadas para este grupo de edad.





