INTRODUCCIÓN
Para establecer inequívocamente el diagnóstico de muerte encefálica se debe documentar la presencia de un daño cerebral completo e irreversible. Bastan los criterios clínicos por sí solos para alcanzar fiablemente este diagnóstico, pero en algunos casos se requieren pruebas confirmatorias basadas principalmente en la ausencia de flujo sanguíneo cerebral1.
El mecanismo básico para explicar la muerte encefálica incluye la obstrucción permanente de la circulación encefálica por una hipertensión endocraneal secundaria a edema cerebral. Por tanto, la demostración de una ausencia de flujo intracraneal sería una prueba de destrucción cerebral irreversible. El método estándar ha sido históricamente la panangiografía cerebral, habitualmente realizada por vía arterial a través de la cateterización selectiva de las arterias carótidas y vertebrales.
De todos los criterios de muerte encefálica utilizados hasta ahora los criterios suecos de 1972 incluyeron a la angiografía cerebral de los cuatro vasos como criterio fundamental para el establecimiento de muerte encefálica1. Si se demostraba detención de la circulación intracraneal por un período de 30 minutos el cerebro estaría ya irremediablemente dañado, independientemente de su causa. La ausencia de relleno de los vasos cerebrales debería demostrarse en dos angiografías separadas entre sí por un intervalo de 25 minutos.
A partir de esta inclusión algunos han defendido que sólo la arteriografía cerebral sería definitiva para el diagnóstico de muerte encefálica y por ello el Estudio Colaborativo sobre Muerte Cerebral de 1976 sugirió la realización de un estudio de valoración del flujo sanguíneo como prueba "confirmatoria". A partir de este punto la panangiografía cerebral se considera un método definitivo en el establecimiento de muerte encefálica1-6.
La panangiografía cerebral se ha utilizado principalmente en países europeos, mientras que en Estados Unidos no se ha empleado rutinariamente por varias razones. Entre las desventajas que se han argumentado se incluyen las de tener que transportar a un paciente en estado crítico, dependiente de un respirador e inestable hemodinámicamente, hasta la sala de angiografía, las facilidades para la realización de una angiografía son limitadas y no en todos los hospitales existe esta posibilidad y, por fin, que la angiografía es de todas formas una prueba auxiliar y, por tanto, secundaria en el diagnóstico de la muerte encefálica. Sin embargo, el argumento más encontrado es que el contraste intravascular empleado puede dañar una circulación ya de por sí comprometida; existe, por tanto, el miedo potencial de que la angiografía puede contribuir a terminar de dañar el cerebro de forma irreversible2,3.
La ventaja principal reside en que al demostrar una ausencia de relleno de las arterias del encéfalo se acelera el diagnóstico y se acortan los períodos de tiempo de espera legales y médicos para el trasplante de órganos2.
TIPOS DE ESTUDIOS ANGIOGRÁFICOS
Varios son los tipos de estudios que pueden realizarse para obtener una angiografía cerebral y que a continuación se exponen: angiografía convencional y digital intraarterial, angiografía digital intravenosa, angiografía por resonancia magnética (ARM) y angiografía con tomografía computarizada espiral (TACE). Todos ellos requieren la demostración de una detención del flujo intracerebral que llega a través de las dos carótidas y vertebrales. Se consideran prerrequisitos básicos que exista una PaO2 mayor de 70 mmHg, una presión arterial sistólica mayor de 100 mmHg y una frecuencia cardíaca comprendida entre 80 y 100 latidos por minuto3,7,8.
Angiografía cerebral intraarterial convencional y digital
La demostración de los sistemas carotídeos y del sistema vertebrobasilar puede hacerse por vía arterial o venosa. Por vía arterial puede realizarse mediante: cateterismo selectivo de las arterias carótidas y vertebrales por vía femoral o axilar, punción directa de las carótidas y vertebrales y panangiografía cerebral mediante inyección del contraste en el arco aórtico a través de un catéter pigtail o por inyección retrógrada braquial.
El contraste ha de inyectarse a una presión de 2-3 atmósferas y, debido al enlentecimiento de la circulación que normalmente ocurre en la hipertensión intracraneal, debe prolongarse la duración de la serie angiográfica hasta por lo menos 30 segundos3.
Algunos autores prefieren la inyección en el arco aórtico y valorar los troncos en su totalidad. Greitz et al9 entienden que la inyección en arco aórtico supone una mayor simplicidad y el llenado de la carótida externa sirve de control. En el grupo de 42 pacientes estudiados por estos autores, sin o con inyección selectiva después, hallaron una detención del contraste en sitios variables, incluyendo bifurcación carotídea cervical, sifón carotídeo y tronco de la cerebral media. Bradac y Simon10 creen también que la inyección aórtica es el método de elección. Sin embargo, Busse y Vogelsang11, aún considerándolo bueno para los adultos, lo cuestionan en niños.
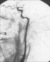
La ausencia de relleno de contraste de la circulación arterial de ambas carótidas internas y del sistema vertebrobasilar es un criterio absoluto en el diagnóstico de muerte encefálica. Ahora bien, los hallazgos angiográficos pueden ser de varios tipos9. Raramente puede haber un progresivo afilamiento del contraste hasta que se detiene completamente en la porción cervical de la carótida interna a distancia variable (fig. 1), pero lo habitual es que el contraste se detenga abruptamente a nivel de la base craneal o en el sifón carotídeo, cerca de la clinoides anterior o posterior, con o sin visualización de la arteria oftálmica (fig. 2). En casos muy raros puede existir un llenado tardío tenue de la porción supraclinoidea de la carótida interna y de la porción más proximal de la cerebral media y, más raramente, de la cerebral anterior. El contraste se detiene normalmente de forma simétrica en ambas circulaciones carotídeas (fig. 3), aunque puede haber cierta asimetría. En todos los casos se obtiene un llenado completo e incluso precoz de las ramas de la arteria carótida externa bilateralmente. Nunca se observa llenado en fase venosa. A nivel del sistema vertebrobasilar la detención del contraste se produce en la entrada de la cavidad craneal, a nivel de la unión occipitovertebral. De modo ocasional puede rellenarse de forma filiforme la porción más proximal de la arteria basilar, rellenándose retrógradamente la arteria vertebral del otro lado. Kricheff et al2 estudiaron el patrón angiográfico de 20 pacientes y lo dividieron en cinco grupos. El grupo I consistía en una ausencia completa de relleno de las arterias intracraneales (10 casos), el grupo II con estasis prolongada de las arterias basales (3 casos), el grupo III con fenómenos de reflujo y shunts (4 casos), el grupo IV con conservación solamente de la vasculatura de fosa posterior (2 casos) y finalmente el grupo V con 1 solo caso con extravasación perivascular del contraste en la distribución de la arteria cerebral posterior durante la inyección en la arteria carótida interna.
Fig. 1. Angiografía digital selectiva de carótida común en proyección lateral. El contraste en la carótida interna se va afilando progresivamente en su recorrido cervical desde la bifurcación hasta que se detiene completamente al llegar a la base craneal, mientras que la carótida externa se visualiza con normalidad.
Fig. 2. Angiografía digital selectiva lateral de carótida que muestra una abrupta detención del contraste en porción supraclinoidea de carótida interna.
Fig. 3. Angiografía digital con inyección del contraste en el arco aórtico en proyección anteroposterior. Detención simétrica y bilateral del contraste carotídeo a nivel cervical a 1 cm de la bifurcación. Ramas de carótidas externas normales.
A medida que los fenómenos fisiopatológicos que acompañan a la muerte encefálica progresan y la presión intracraneal se va elevando ocurre una visualización cada vez menor de la circulación intracraneal hasta que se produce su detención en la base craneal. Sin embargo, frecuentemente la circulación vertebrobasilar persiste durante unas horas después de que ha cesado por completo el flujo carotídeo. Por esta razón Bücheler et al12 sugieren que la angiografía no debe llevarse a cabo muy precozmente después del diagnóstico clínico de muerte encefálica, sino que se debe demorar hasta que la circulación sistémica y la temperatura corporal, así como la diferencia arteriovenosa de oxígeno lo aconsejen.
Correlación angiografía-ecografía Doppler transcraneal
Hassler et al13 realizaron un estudio comparativo entre los resultados angiográficos y de ecografía Doppler transcraneal en un grupo de 55 pacientes y encontraron que de las 110 carótidas estudiadas, en 57 la detención del contraste se producía entre la bifurcación y la base del peñasco; en 23 en el recorrido petroso de la arteria; en 20 a nivel del sifón carotídeo, con 8 casos visualizándose la arteria oftálmica; y en 10 ejemplos observaron un llenado escaso de las arterias intracraneales después de 14 segundos de serie angiográfica. Del total de 55 pacientes el contraste en el sistema vertebrobasilar se detuvo a nivel del atlas en 42 casos, en clivus-dorso selar en 5 casos, entre C2-C6 en 2 casos y apareció un mínimo relleno de la arteria cerebral posterior en 6 casos a los 14 segundos. Hallaron una estrecha correlación entre la señal registrada mediante ecografía Doppler, el tipo de patrón angiográfico carotídeo obtenido y el grado de presión intracraneal. Con un registro espectral de flujo bifásico el resultado angiográfico es un pobre llenado de la vasculatura arterial carotídea en 7-10 segundos. A medida que la presión intracraneal aumenta se produce una detención de la circulación cerebral en el sifón y un registro espectral de ondas pequeñas sistólicas, para, al final, producirse la detención circulatoria total entre la bifurcación carotídea y la base craneal en angiografía y ningún registro detectable en ecografía Doppler transcraneal. Cuanto mayor sea la presión intracraneal que se transmite retrógradamente más cerca de la bifurcación carotídea se producirá la detención completa del contraste (fig. 4).
Fig. 4. Proyección lateral del mismo caso de la figura anterior. Obsérvese que antes de la parada completa el contraste se afila suavemente en la carótida interna cervical.
Correlación angiografía-electroencefalograma-ecografía Doppler transcraneal
Paolin et al5 correlacionan en quince pacientes con muerte encefálica los resultados del electroencefalograma (EEG), ecografía Doppler trascraneal, estudios de perfusión con Xe133 y angiografía cerebral selectiva. El EEG fue isoelétrico en ocho casos, persistiendo actividad eléctrica en siete casos. La ecografía Doppler transcraneal sólo fue compatible con el patrón de muerte encefálica en ocho, mientras que en seis no hubo señal registrable y en un caso hubo un espectro normal. Estos autores concluyen que la angiografía cerebral selectiva y las medidas de flujo con Xe133 son más sensibles y específicas que la EEG y la ecografía Doppler transcraneal que poseen falsos positivos y negativos.
Con el desarrollo tecnológico de las salas de angiografía aparecieron las salas digitales, permitiendo un ahorro de tiempo, ahorro en cantidad de contraste y, al realizarse una sustracción electrónica de las estructuras óseas superpuestas, mejorando la calidad de imagen. Igualmente se avanzó en nuevos materiales de fabricación de catéteres y guías, apareciendo los materiales hidrofílicos, nuevos contrastes no iónicos y medios menos cruentos de acceso arterial, lo que ha llevado a angiografías más seguras.
Con la llegada de la digitalización de las imágenes se ha incorporado una variante técnica denominada parenquimografía cerebral14. Este método, derivado de las técnicas de investigación de la isquemia cerebral aguda, consiste en la obtención de imágenes digitalizadas de angiografía en fase de parenquimograma durante la inyección del contraste en el arco aórtico a una velocidad de 15 ml/seg. Esta técnica intraarterial dinámica es considerada rápida y fiable en la confirmación de la muerte encefálica de once casos por Huet et al14 encontrando en estos pacientes una ausencia de parenquimograma y relleno de ramas de la carótida externa.
Ventajas de la angiografía cerebral intraarterial
La angiografía cerebral por vía arterial a través de la arteria femoral y técnica de Seldinger y cateterización selectiva de las arterias carótidas y vertebrales es preferida porque permite una valoración sin género de duda de que existe una detención completa del contraste antes de que penetre en la circulación intracraneal. Es mejor que la inyección aórtica porque con este último método existe una superposición o solapamiento de las arterias y es difícil individualizarlas y porque debido al notable enlentecimiento circulatorio no siempre es posible una óptima visualización de la circulación intracraneal por vía aórtica5. Por estos motivos una inyección del contraste selectiva permite asegurarse que el diagnóstico es enteramente correcto.
Errores de interpretación de la angiografía cerebral intraarterial
Debe tenerse en cuenta que la hipertensión intracraneal puede ser transitoria. Ya Riishede y Ethenberg15, que por primera vez describieron el fenómeno de la ausencia de relleno angiográfico en cinco pacientes con masas supratentoriales y herniación tentorial, resaltaron que la estasis observada no era debida a trombosis de los vasos cerebrales y que en algunos casos este fenómeno podía ser reversible. Otros autores16-18 refieren el hecho de que la disminución de la hipertensión intracraneal mediante el drenaje del líquido ventricular permite un relleno parcial arterial en la angiografía. Otros errores de interpretación pueden ser debidos a los siguientes factores3: circulación muy lenta o difusa, inyección subintimal del contraste, disminución marcada de la presión arterial con frecuencia asociada a bradicardia y espasmo o trombosis arterial bilateral.
Por el contrario, un llenado artificial debido a la inyección forzada del contraste (fig. 5) se ha descrito como causa de falso negativo angiográfico de muerte encefálica4,19. También de forma anecdótica se ha descrito un caso de muerte encefálica clínica con circulación arterial posterior preservada20.
Fig. 5. Proyección lateral de una angiografía convencional en un paciente con trauma craneal y criterios clínicos de muerte encefálica. En contra de lo esperado la exploración muestra un llenado de las ramas de la arteria cerebral media y anterior con estiramiento y rectificación en relación con intensa hipertensión intracraneal. La porción supraclinoidea de la carótida interna se encuentra afilada. El catéter se posicionó muy craneal y la inyección del contraste a alta presión, lo que forzó la entrada intracraneal del contraste. Repetida la angiografía 24 horas más tarde se confirmó la ausencia de relleno intracerebral.
Inconvenientes de la angiografía cerebral intraarterial4,6
Es una técnica invasiva, requiere un tiempo de realización excesivamente prolongado, es necesaria experiencia en el equipo que la efectúe, traslado del paciente desde la Unidad de Cuidados Intensivos (UCI) a la sala vascular, no reproducibilidad en ciertos hospitales no terciarios y es 5 veces más cara que la angiografía digital intravenosa.
Angiografía cerebral digital intravenosa
La aparición de la tecnología digital permite angiografías por vía intravenosa de buena calidad. La angiografía cerebral digital intravenosa (ACIV) se realiza con inyección del contraste en la aurícula derecha con cateterismo de la vena basílica o antecubital del brazo o a través de la vena femoral. El contraste se inyecta a una velocidad de 30 ml/seg durante un segundo y se adquiere una imagen por segundo hasta completar un tiempo total de 30-60 segundos6,21.
Braun et al6 estudiaron 140 casos empleando 60 segundos de tiempo total tras la inyección por vía intravenosa del contraste, dividiendo los resultados en cuatro grupos: en 115 pacientes la detención del contraste fue en foramen magnum, en 15 hubo estasis basilar o en arteria cerebral posterior, siendo lo más interesante de su estudio que en 9 casos encontraron un flujo vertebrobasilar persistente hasta los 25-35 segundos de comenzada la serie angiográfica y que en 1 caso hubo circulación positiva en el lado de una craniectomía previa.
Correlación angiografía intravenosa-electroencefalograma
Louvier et al7 correlacionaron en 57 pacientes los resultados del EEG con la ACIV y compararon sus sensibilidades respectivas. Encontraron 3 pacientes con EEG isoeléctrico y angiografía cerebral que muestran un relleno de arterias intracerebrales, estableciendo una sensibilidad para el EEG del 94,5% contra una sensibilidad de la ACIV de un 96,2%.
Ventajas e inconvenientes de la angiografía cerebral digital intravenosa6,21
Es menos invasiva que la angiografía cerebral intraarterial (ACIA), más barata (unas 4 veces menos), más fácilmente reproducible y más cómoda de realizar.
Por el contrario, el contraste en las arterias es pobre cuando existe bradicardia o taquicardia (> 120 lpm), debiendo hacer ajustes para adaptarse a estas situaciones hemodinámicas alargando la adquisición de imágenes y ajustando la velocidad y volumen de contraste a inyectar para evitar falsos positivos; el paciente también ha de ser trasladado a la sala de angiografía con la resultante incomodidad y potencial dificultad de controlar clínicamente a un paciente crítico; la cantidad de contraste necesaria para una adecuada exploración es, en la más favorable de las condiciones, de unos 60-80 ml, mayor que en una ACIA, lo que teóricamente puede precipitar una insuficiencia renal, especialmente cuando hay inestabilidad cardiovascular.
Angiografía cerebral con resonancia magnética
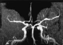
Con la introducción de la resonancia magnética (RM) en la práctica clínica se vio que era posible evaluar el flujo sanguíneo, tanto con las secuencias spin-eco como, especialmente, con las secuencias que son sensibles al flujo sanguíneo eco-gradiente. Utilizando este tipo de secuencias de pulso es posible la reconstrucción en tres dimensiones (3D) en forma de tiempo de vuelo (time of flight, TOF-3D) del árbol arterial cerebral y obtener una angiografía cerebral (fig. 6). Las imágenes reconstruidas verificarían la existencia o no de flujo arterial y venoso intracraneal, con las mismas aplicaciones que la ACIA o la ACIV, pero sin someter al paciente a la invasividad de un cateterismo o una inyección de medio de contraste22,23.
Fig. 6. Angiografía por resonancia magnética cerebral normal obtenida con técnica TOF-3D en visión frontal.
Aunque la experiencia es todavía limitada, Ishii et al22 ya describen los hallazgos con ARM en cuatro pacientes con muerte encefálica sin identificar flujo en las arterias carótidas internas en su porción supraclinoidea.
Inconvenientes de la angiografía cerebral con resonancia magnética
Traslado del paciente desde la UCI, prolongado tiempo de exploración y los monitores, ventiladores y otros aparatos de soporte vital no compatibles con la RM.
Angiografía con tomografía axial computarizada espiral (helicoidal)
Nuevamente los avances tecnológicos en el diagnóstico por imagen han revolucionado la práctica y el concepto de la angiografía cerebral. La TACE ofrece una nueva forma de evaluar la anatomía vascular intracraneal después de la inyección por vía intravenosa de contraste en forma de embolada rápida con un inyector automático. La adquisición de las imágenes se realiza en dos fases consecutivas; la primera fase da comienzo a los 20 segundos después de la introducción del contraste a una velocidad de 3 ml/seg con una velocidad de desplazamiento del paciente de 10 mm y una colimación de 10 mm (pitch 1:1) y la segunda con los mismos parámetros y repitiendo igualmente el mismo recorrido anatómico craneal, de tal modo que se comienza a los 54-60 segundos desde el comienzo de la inyección del medio de contraste. Las imágenes axiales se reconstruyen cada 5 mm, pudiendo realizar posteriores reconstrucciones tridimensionales o con técnica de máxima intensidad de proyección MIP (fig. 7).
Fig. 7. Angiografía con tomografía computarizada espiral craneal con contraste normal con reconstrucción del polígono de Willis en una imagen reconstruida con técnica MIP en proyección axial y visto desde el extremo craneal del paciente.
La TACE es un método relativamente poco invasivo, muy rápido y eficaz, constituyendo una interesante alternativa a la angiografía cerebral convencional y digital para la valoración del flujo arterial y venoso intracraneal8.
Catorce pacientes en muerte encefálica fueron estudiados con TACE por Dupas et al8 y este grupo fue comparado con once sujetos sanos que actuaron de controles. Asimismo, se hizo EEG en siete ACIA en cinco y ambas en dos, con una especificidad de la angiografía del 100%. En estos casos de muerte encefálica encontraron una ausencia de contraste en basilar, pericallosas, arterias corticales y venas profundas y senos sagital superior y recto.
Ventajas e inconvenientes de la angiografía con tomografía computarizada espiral8
Las mayores ventajas se derivan de su rapidez y ahorro de contraste en relación con una ACIA o ACIV. Asimismo, es una técnica reproducible, pues la TACE está accesible en cualquier medio hospitalario, independientemente de su nivel. No requiere especial entrenamiento y su sencillez de manejo lo hacen disponible las 24 horas del día.
Los inconvenientes se centran en la necesidad de contraste, aunque es el método que menor cantidad necesita; también requiere el traslado del paciente, aunque al completarse la exploración en apenas 60-90 segundos, su permanencia fuera de la UCI queda limitado al mínimo.









