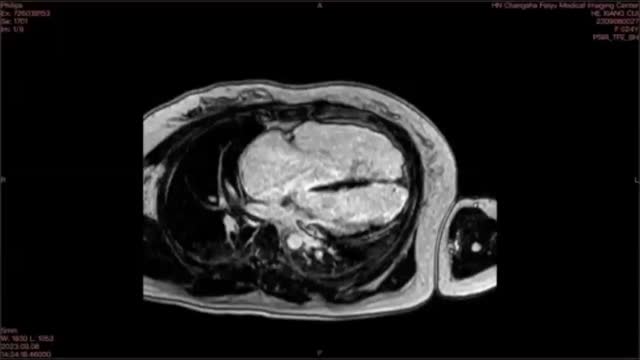
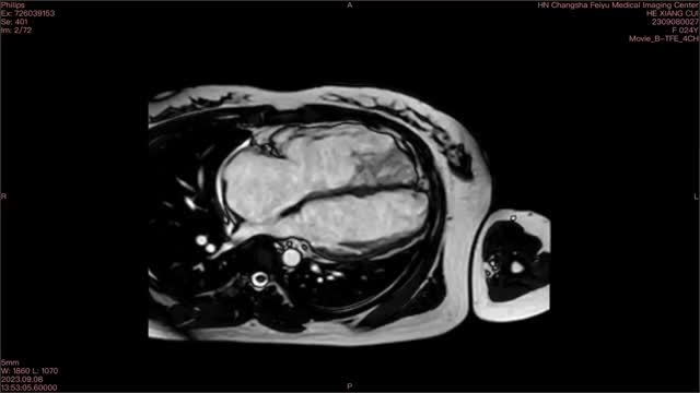
A previously healthy 25-year-old female presented to the emergency department with 5 h of palpitations and lightheadedness. Upon admission, the electrocardiogram (ECG) showed sustained ventricular tachycardia (VT) of left bundle branch block (LBBB) morphology with superior axis (Fig. 1A). The VT episode was terminated by intravenous amiodarone. Subsequent ECG after cardioversion revealed T wave inversion in all precordial leads and epsilon wave in leads V2 and V3 (Fig. 1B). Of note, her father died suddenly at the age of 38. Further cardiac magnetic resonance (CMR) revealed global hypokinesia in the free wall of the right ventricle (RV), as well as regional hypokinesia in the left ventricular apical wall (Fig. 1C, D, Supplement data Video 1). Notably, right ventricular ejection fraction was only 3%. Moreover, evidence of myocardial fibrosis was observed at the apex of the left ventricle (LV), with no such findings noted in the RV (Fig. 1E, Supplement data Video 2). Genetic testing revealed a mutation in the PKP2 gene. Based on the findings mentioned above, the diagnosis of arrhythmogenic right ventricular cardiomyopathy (ARVC) with LV involvement was established. The patient was started on metoprolol and was advised to undergo implantable cardioverter defibrillator (ICD) implantation.
Please cite this article as: Wan H, Liu G, Tang M. Taquicardia ventricular en una mujer joven. Med Intensiva. 2024.



