A 48-year-old female presented to emergency room complaining episode of 4-days of retrosternal chest pain at rest, radiated to her back, jaw and left arm, associated with dyspnea. She was hemodynamically stable. Physical examination, routine laboratory test, biomarkers of cardiac injury and X-ray were unremarkable. Electrocardiogram (ECG) showed t-wave inversion in leads v1–v6 with no st deviation, normal R wave progression and no pathological q waves (Fig. 1A), another ECG was taken while asymptomatic (Fig. 1B).
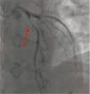
Cineangiocardiography showed Wellens Syndrome with a severe 95% stenosis in proximal anterior descending artery (Fig. 2), echocardiogram with preserved myocadiac function. Coronary artery bypass graft surgery was performed without complications. Patient was discharged fully asymptomatic with standard medical therapy and concerning lifestyle changes.




