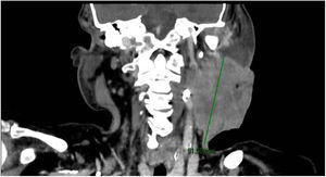
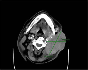
Varón de 64 años, fumador activo que acude a urgencias por presentar una tumoración cervical izquierda junto con fiebre elevada y malestar general de varios días de evolución. A la exploración física: tumoración de 7×4cm con supuración activa y pétrea a la palpación (fig. 1). TAC de tórax y cervical urgente: gran masa de partes blandas, laterocervical izquierda, con densidad heterogénea y burbujas en su interior (fig. 2), invadiendo planos grasos profundos y fistulizando al exterior 8×9cm (fig. 3) compatible con masa maligna abscesificada. Ingreso en la UCI por shock séptico para recibir tratamiento intensivo. Diagnóstico definitivo: neoplasia de la base de la lengua con adenopatía metastásica abscesificada.
The Impact Factor measures the average number of citations received in a particular year by papers published in the journal during the two preceding years.
© Clarivate Analytics, Journal Citation Reports 2025
SRJ is a prestige metric based on the idea that not all citations are the same. SJR uses a similar algorithm as the Google page rank; it provides a quantitative and qualitative measure of the journal's impact.
See moreSNIP measures contextual citation impact by wighting citations based on the total number of citations in a subject field.
See more





