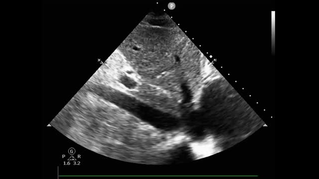
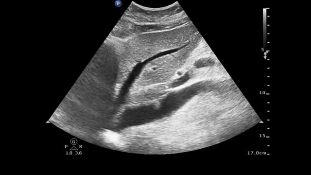
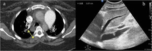
A 35-year-old woman presented to the emergency department with dyspnea and chest tightness lasting for 1 day. Computed tomographic pulmonary angiography confirmed the diagnosis of acute pulmonary embolism (Fig. 1a, yellow arrow). Venovenous extracorporeal membrane oxygenation (VV-ECMO) was implanted due to severe hypoxemia (a P/F ratio of 64 mmHg). Three days later, VV-ECMO was successfully decannulated, and an immediate ultrasound examination detected a rare morphology of ECMO-related thrombus in the inferior vena cava (IVC): a pedunculated, polypoid mobile thrombus floating with a heartbeat (Video 1 and Fig. 1b). The IVC thrombus dissipated after a 3-week standard anticoagulant treatment (Video 2). The case indicated the necessity of routine IVC ultrasound examination after the decannulation of ECMO.
Contribution of the authorsZhou X, Pan J, and Chen B participated in the care of the patient. Zhou X and Chen B drafted the manuscript and revised the manuscript. All authors read and approved the final manuscript.
FundingThis work was supported by the grants from Zhejiang Medicine and Health Science and Technology Project (No. 2023KY1084; 2021KY1027) and the Project of NINGBO Leading Medical & Health Discipline (No. 2022-F16). The funders had no role in the study design, data collection, and analysis, decision to publish, or preparation of the manuscript.
Conflicts of interestThe authors declare that they have no potential conflict of interest.
Consent for publicationWritten informed consent was obtained from the patient for publication of this article and any accompanying images.
None.



