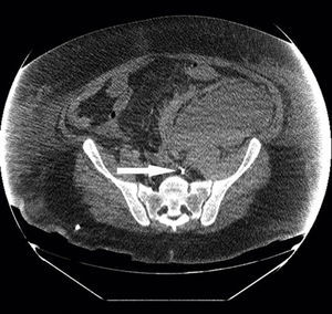
A patient underwent CRRT throw a left femoral vein catheter (34cm–13.5F). Immediately after the insertion we detected problems in the circuit blood flow and the patient deteriorated. A CT scan showed the tip of the catheter in the left lumbar vein beside a retroperitoneal haematoma (Fig. 1). Another patient (same catheter and insertion technique) showed persistent blood flow problems and in a CT scan the catheter was detected in an accessory left hemiacygos vein and already visible in the plain abdominal X-ray (Fig. 2). Because presumably an eco-directed insertion would not have prevented these anomalous locations, in the event of serious flow problems, a radiologic exploration can help ruling out this unusual and scarcely reported malposition that demands immediate withdrawal of the catheter.
Conflict of interestThe authors declare no conflict of interest concerning this manuscript.




