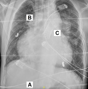
Hombre de 33 años con síndrome de Rendu-Osler-Weber y estenosis aórtica congénita corregida con cirugía de Ross. Presentaba estenosis grave del homoinjerto con implante transcatéter de prótesis pulmonar Melody (Medtronic, Mineápolis, MN, EE. UU.), e hipertensión pulmonar poscapilar grave mixta con disfunción ventricular derecha severa, siendo incluido en lista de trasplante cardiopulmonar. Ingresó por insuficiencia respiratoria, que requirió ECMO veno-venosa percutánea. En la figura 1 se aprecia la cánula de drenaje femoral en la cava inferior (A), la de retorno yugular en la aurícula derecha (B), y la prótesis Melody en la arteria pulmonar (C). Se precisó hemodiafiltración por fallo derecho. Al quinto día se decidió el cambio a cánula de doble luz ProtekDuo (LivaNova, Londres, Reino Unido) como asistencia derecha con oxigenador puente al trasplante cardiopulmonar. En la figura 2 se observa la cánula ProtekDuo (D) atravesando la prótesis Melody (C), con el drenaje en la aurícula derecha y el extremo distal de retorno en la arteria pulmonar. Se retiró la hemodiafiltración a la semana. Realizaba rehabilitación en espera del trasplante. No obstante, presentó sangrado digestivo incoercible, siendo exitus a las 2 semanas.
Fuentes de financiaciónSin fuentes de financiación.
Consideraciones éticasValorado por el Comité de Ética de la Investigación con Medicamentos del Hospital Universitario y Politécnico La Fe. No se requiere su aprobación al tratarse de un caso clínico que no constituye investigación biomédica. No aparecen datos identificativos de pacientes.
Conflicto de interesesManuel Pérez-Guillén ha recibido honorarios de Palex Medical. No existe conflicto de intereses para el resto de los autores.




