INTRODUCCIÓN
El síndrome de apoplejía pituitaria que aparece como complicación en el postoperatorio de cirugía cardíaca con circulación extracorpórea es una entidad muy poco frecuente, que se caracteriza por hemorragia o infarto de un adenoma hipofisario, no conocido previamente en la mayoría de los casos, y que suele comenzar con síntomas neurológicos leves (ptosis palpebral, meiosis, oftalmoplejía y cefaleas). De los 11 casos descritos en la bibliografía sólo 3 presentaron letargia, confusión o coma. El diagnóstico se confirma mediante tomografía axial computarizada (TAC) o resonancia magnética cerebral, y las alteraciones endocrinas que aparecen son muy variables, aunque el hipopituitarismo grave es muy raro.
OBSERVACIÓN CLINICA
Mujer de 77 años con antecedentes de hipertensión arterial (HTA), dislipemia y angina de esfuerzo, con enfermedad coronaria de tres vasos y función ventricular normal, sin otros antecedentes de interés, que ingresa para control postoperatorio de triple bypass aortocoronario con safena a DA, OM y DP, con tiempos de isquemia y CEC muy prolongados (precisó doble safenectomía).
En los primeros 2 días la paciente evolucionó de forma favorable, con exploración neurológica completamente normal, y llegó a ser extubada. En el tercer día de postoperatorio sufrió deterioro de la función respiratoria por síndrome de distrés respiratorio agudo (SDRA) secundario a sepsis, y precisó reintubación y ventilación mecánica prolongada durante más de 2 meses. Durante ese período presentó múltiples complicaciones infecciosas (infección de la safenectomía multibacteriana y sepsis, varios episodios de bacteriemia por Staphyloccus coagulasa negativo y por Enterobacter cloacae y candidiasis sistémica) y renales (episodios de insuficiencia renal aguda), que precisaron fluidoterapia, soporte vasoactivo, tratamiento antibiótico prolongado y sedación, lo que dificultó la evaluación neurológica.
Tras mejorar, se retiró la sedación, y permaneció en coma (con Escala de Glasgow menor de 8) más de 10 días. Durante este período presentó tendencia a la hipotensión, que precisó soporte vasoactivo pero no hiponatremia, hipercalemia ni hipoglucemia. Se detecto hipernatremia y alcalosis metabólica secundaria a tratamiento diurético.
Entre las pruebas complementarias que se realizaron destacaba: calcio, 14 mg/dl (8,8-10,5 mg/dl); cortisol, 8,3 μg/dl (10,8-17 μg/dl); hormona adrenocorticotropa (ACTH), 20 pg/ml (7-51 pg/ml); TSH indetectable, y tiroxina (T4), 0,05 ng/dl (0,7-1,7 ng/dl).
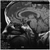
Se realizó un EEG que demostró brotes periódicos de supresión de gran persistencia que podrían ir a favor una lesión del troncoencefálo de grado moderado-intenso. Se solicitó una resonancia magnética cerebral que demostró la existencia de una masa intraselar de 1,5 cm, que ampliaba el tamaño de la silla turca y que realzaba de forma heterogénea con contraste, y no se identificó la hipófisis normal (fig. 1).
Figura 1. Resonancia magnética cerebral, en la que en la silla turca se evidencia una masa tumoral.
Con el diagnóstico de macroadenoma hipofisario (adenoma de tamaño superior a 10 mm) complicado con hipopituitarismo grave, se inició tratamiento hormonal sustituitivo con actocortina y hormonas tiroideas, y mejoró rápidamente la situación neurológica, con recuperación total del nivel de conciencia, sin signos de focalidad neurológica, lo que facilitó la desconexión de la ventilación mecánica. Reinterrogada la paciente no había presentado en el período preoperatorio signos ni síntomas sugerentes de adenoma hipofisario (sed, cefaleas, trastornos visuales, del apetito o de la diuresis, etc.). La paciente fue trasladada a planta y posteriormente a su domicilio. Actualmente es revisada en consulta por el servicio de endocrinología.
DISCUSIÓN
La hemorragia o isquemia de un adenoma hipofisario tras una cirugía cardíaca es una situación muy poco frecuente y suele ser la primera manifestación clínica del tumor (incidencia estimada por necropsias de macroadenoma hipofisario: 30/100.000 habitantes)1, afecta con mayor frecuencia a los varones (10:1) y puede manifestarse con distintos signos y síntomas clínicos: cefalea, ptosis, miosis unilateral, oftalmoplejía, déficit visuales (estos últimos son los más frecuentes), convulsiones, hemiparesia, letargia y coma, como en el caso descrito2.
Son frecuentes los trastornos endocrinos, con déficit variables (hipotiroidismo, SIADH, diabetes insípida, insuficiencia suprarrenal, etc.) aunque es muy rara la aparición de hipopituitarismo grave.
Los mecanismos que explican la mayor incidencia de hemorragia o isquemia hipofisaria en los pacientes sometidos a cirugía cardíaca con circulación extracorpórea aún no están del todo claros, aunque se han propuesto distintas teorías3, como una mayor susceptibilidad a la hipoperfusión, o la isquemia de la hipófisis afectada, edema y por tanto crecimiento del adenoma favorecido por la circulación extracorpórea, e incremento del riesgo de hemorragia por el tratamiento con heparina, al ser los vasos hipofisarios débiles. También se han implicado otros mecanismos favorecedores, como traumatismos, presión positiva en la ventilación mecánica, ataques de tos intensa, etc.4.
El diagnóstico se confirma mediante pruebas de imagen (TAC o resonancia magnética), como en el caso descrito. En la bibliografía revisada la mayoría de los casos fueron diagnosticados por TAC craneal, aunque se ha descrito que la resonancia magnética cerebral es más sensible y específica para detectar hemorragias del adenoma, y además permite hacer un seguimiento del tratamiento5.
La actitud terapéutica es aún controvertida y a menudo la falta de tratamiento suele ser fatal. Está demostrado que el tratamiento esteroideo es beneficioso y, por otro lado, se han descrito casos de reversión espontánea, con remisión de la enfermedad endocrina y mejoría de los síntomas oculares6,7, que contrasta con la creencia general de que el tratamiento de elección siempre es la extirpación quirúrgica por vía tranesfenoidal. Se ha sugerido que pacientes con defectos visuales graves, empeoramiento del nivel de conciencia y con deterioro progresivo requieren descompresión quirúrgica.
Los pacientes con adenomas hipofisarios conocidos que precisen cirugía se deberían tratar con terapia hormonal sustitutiva apropiada, para posteriormente llevar a cabo una estrecha vigilancia durante el postoperatorio, tendiendo a realizar descompresión transesfenoidal en casos de oftalmoplejía o desarrollo de otros síntomas graves del sistema nervioso central.
En conclusión, entre las posibles causas de bajo nivel de conciencia durante el postoperatorio de cirugía cardíaca debe considerarse la posibilidad de un tumor hipofisario complicado (especialmente si existe un adenoma hipofisario conocido, en cuyo caso se debe iniciar tratamiento médico previo). Cabe recalcar que aún no existe una guía para ayudar a tomar una decisión terapéutica, en cuanto a si estos casos se deben tratar de forma quirúrgica o conservadora, ya que hay muy pocos casos descritos en la bibliografía y algunos presentan remisión o mejoría sintomática con tratamiento médico.



