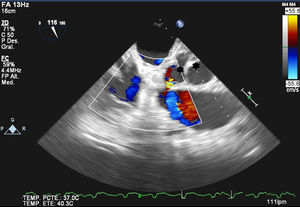
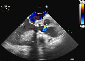
Sixty-six year-old patient with a mechanical aortic prosthesis implanted two months ago, who recently experienced a deterioration in his level of consciousness and a sudden-onset fever of up to 39°C, along with a bluish nodular lesion in the fifth digit (little finger) of his left hand. The brain CAT scan performed revealed a parietal intraparenchymal hemorrhage, of which blood cultures were taken (with a positive result for Staphylococcus aureus). Furthermore, the transthoracic echocardiogram (TTE) carried out showed a poorly differentiated hyperechogenic image at the level of the prosthetic valve. Based on the above findings, a transesophageal echocardiography (TEE) was also performed revealing the presence of a metallic aortic valve prosthesis associated with periaortic thickening (arrow, Fig. 1) along with images of cavitated lesions in the posterior end of the aortic root (asterisk, Fig. 2), one of which was seen to come into contact with it, thus being suggestive of a complicated endocarditis. Additionally, a cardiac CAT scan showed a 9-mm heart wall defect coming into contact with a 9×6×5.5-cm collection, as well as contrast media extravasation suggestive of a broken pseudoaneurysm contained by the epicardium (arrow, Fig. 3). This case report brings to light the key role of TEE in detecting cases of endocarditis.
Please cite this article as: Catalá Ripoll JV, Urraca Espejel C, Cuesta Montero P. Endocarditis infecciosa aórtica protésica precoz complicada. Med Intensiva. 2017;41:62.





