La muerte siguiendo criterios neurológicos o muerte encefálica (ME) es aceptada desde hace décadas por la comunidad científica como la muerte del individuo, y reconocida como tal en la legislación de la mayoría de los países.
La ME se define como el cese irreversible en las funciones de todas las estructuras neurológicas intracraneales, tanto de los hemisferios cerebrales como del troncoencéfalo. El diagnóstico se realiza mediante una exploración clínica (EC) neurológica que debe ser sistemática, completa y extremadamente rigurosa, requiriendo esta valoración médicos expertos en el manejo de pacientes neurocríticos1-9. La declaración de ME es un diagnóstico de gran trascendencia médica, ética y legal, ya que permite retirar todas las medidas artificiales de soporte, incluida la ventilación mecánica o realizar la extracción de órganos para trasplante10.
Además del diagnóstico exclusivamente clínico, existen una serie de pruebas instrumentales que pueden ser imprescindibles en casos de especial dificultad diagnóstica. La legislación española define perfectamente en el Anexo I del Real Decreto 2070/ 199911 las circunstancias clínicas que obligan a utilizar el diagnóstico instrumental, dejando a criterio médico la elección del método utilizado, teniendo en cuenta su rentabilidad diagnóstica y las características clínicas de cada caso.
En el diagnóstico de ME se pueden utilizar técnicas de tipo electrofisiológico, como el electroencefalograma (EEG) y los potenciales evocados12,13. La escala del índice biespectral (BIS) no es diagnóstica de ME, pero al detectar precozmente la ausencia de actividad eléctrica cerebral, en ausencia de fármacos sedantes, puede anunciar el inicio del enclavamiento cerebral14,15. Cuando existe interferencia con fármacos depresores del sistema nervioso central (SNC) se deben utilizar métodos que evalúen directa o indirectamente el flujo sanguíneo cerebral (FSC) tales como la angiografía cerebral de 4 vasos en sus diversas modalidades16, la angiogammagrafía cerebral con 99Tc-HMPAO17,18, o el doppler transcraneal (DTC)19. Las primeras requieren desplazar al paciente fuera de la Unidad de Cuidados Intensivos (UCI) y presentan el inconveniente de su escasa disponibilidad.
Existen muy pocos trabajos en la literatura médica sobre diagnóstico de ME mediante tomografía computarizada (TC). Las publicaciones donde el diagnóstico se realiza con las nuevas TC multicorte son mínimas y se trata exclusivamente de casos clínicos aislados20,21. Por este motivo, nos planteamos realizar un estudio sobre la utilidad de la angio-TC y estudio de perfusión cerebral en el diagnóstico de ME. Sin duda en los próximos años, los nuevos equipos de TC multicorte se generalizarán en los hospitales y estarán disponibles las 24 horas del día. Este hecho tiene una especial relevancia, ya que nos permitirá diagnosticar la ausencia de circulación intracraneal en pacientes tratados con fármacos depresores del SNC, y por lo tanto de especial dificultad diagnóstica clínica. En estos casos, un estudio angio-TC complementado con uno de perfusión cerebral puede realizar el diagnóstico, solucionando un problema histórico y muy frecuente en la práctica clínica.
En este artículo se describen los resultados obtenidos con los 6 primeros pacientes.
PACIENTES Y MÉTODO
Ámbito
Hemos realizado un estudio prospectivo en el Servicio de Medicina Intensiva de adultos de un Hospital Universitario y centro de referencia para Neurocirugía.
El período de estudio fue de mayo a julio del año 2006 y se realizó en 6 pacientes (3 varones y 3 mujeres) con edad media 53,1 años (rango 34-76) que evolucionaron a ME. Al ingreso en UCI todos presentaban patología neurológica grave con una escala de Glasgow (GCS) ≤ 8. En la tabla 1 se muestra un resumen de sus características clínicas.
Se diagnosticó ME clínicamente cuando cumpliendo los prerrequisitos necesarios, y en ausencia de fármacos depresores del SNC, los pacientes estaban en coma, con lesión estructural grave documentada por estudios de neuroimagen, ausencia de respuesta motora y vegetativa al estímulo algésico en el territorio de los nervios craneales y ausencia de todos los reflejos troncoencefálicos. Tanto la exploración clínica, la prueba de atropina, la de apnea y las pruebas diagnósticas instrumentales se ajustaron a las recomendaciones científicas en la materia y a los protocolos diagnósticos recogidos en el Anexo I del Real Decreto 2070/1999 de la legislación vigente11.
Sonografía doppler transcraneal
El equipo utilizado fue un Smart Lite de Rimed® y en todos los casos la exploración fue realizada por el mismo médico.
El protocolo de estudio incluía la sonorización de la circulación anterior a través de la ventana temporal, registrándose la arteria cerebral media y la bifurcación de la arteria carótida interna en cerebral media y cerebral anterior. En la circulación posterior se sonorizaron las arterias vertebrales y la arteria basilar. Se aceptó como patrón sonográfico de parada circulatoria cerebral la presencia de «flujo diastólico invertido» y el patrón de «espigas sistólicas» siguiendo las recomendaciones de la Task Force de Neurosonología sobre el diagnóstico de ME17.
Electroencefalograma
El EEG se realizó durante 30 minutos de registro y siguiendo las recomendaciones técnicas de la Sociedad Americana de Electrofisiología22. Se utilizó un equipo de 10 canales (Neurofax, Nihon Kohden®).
Tomografía computarizada
Los estudios radiológicos se realizaron en una tomografía Toshiba® (Medycal Systems SA, Japón). La TC utilizada es del tipo denominado «multicorte», modelo Aquilion 64 (TSX-101A/EC), con 64 detectores que permite realizar cortes tomográficos de 0,5 mm de grosor, y adquisición de hasta 60 imágenes por segundo. El contraste utilizado fue Optiray 300 Ultrayect® (Mallinckrodt Medical Imaging, Irlanda).
Durante todo el procedimiento radiológico, los pacientes mantuvieron una tensión arterial sistólica superior a 100 mmHg, confirmada mediante monitorización intraarterial. En algunos casos, los pacientes precisaron una perfusión continua de noradrenalina intravenosa.
El tiempo necesario para realizar el estudio radiológico fue aproximadamente de unos 15 minutos, y el tiempo de reconstrucción y análisis de las imágenes de unos 10 minutos más.
Protocolo para la tomografía computarizada de perfusión
Se adquirió un volumen de tejido cerebral al nivel del polígono de Willis y se valoró su comportamiento secuencialmente tras la administración de 40 ml de contraste intravenoso (300 mg/ml) a una velocidad de 4 ml/seg. Se realizó estudio con postprocesado habitual en la consola de trabajo, valorando la variación en el tiempo del flujo y volumen cerebrales, así como del tiempo de tránsito medio circulatorio.
Protocolo para la angiografía con tomografía computarizada
Posteriormente al estudio de perfusión cerebral, se realizó angiografía de troncos supraaórticos y arterias cerebrales tras la inyección de 80 ml (300 mg/ml) de contraste no iónico, a una velocidad de 3,5 ml/seg mediante un inyector automático. Se adquirió un volumen de tejido desde el cayado aórtico hasta el vértex que se reconstruyó posteriormente con un espesor de corte de 0,5 mm. Otras características técnicas del estudio fueron: 120 Kv; 250 mA; ángulo de entrada paralelo a la órbita, desde raíz de la aorta al vértex; Field of View (FOV) 320 y medición automática del tiempo de retraso.
Análisis de imágenes
La interpretación de las imágenes fue realizada por neurorradiólogos.
Además del estudio de perfusión cerebral, en la angio-TC se analizaron dos grupos de vasos:
1. Vasos extracraneales. Se estudiaron ambas arterias carótidas primitivas mediante angiografía realizada desde el cayado de la aorta hasta su entrada en el cráneo y ambas arterias vertebrales. El estudio de este tramo extracraneal de los vasos, junto con el análisis de las ramas extracraneales de la arteria carótida externa, permitía comprobar que la técnica era adecuada y confirmaba que existía un paso correcto del contraste intravascular.
2. Vasos intracraneales. Se estudió tanto la circulación anterior como la posterior.
RESULTADOS
Todos los pacientes cumplían criterios clínicos de ME mediante exploración neurológica completa, incluyendo la prueba de atropina y la de apnea. En el momento de la exploración ningún paciente estaba en tratamiento con fármacos sedantes que pudieran interferir en los hallazgos neurológicos. Una vez confirmada la ME, en todos los casos se obtuvo el consentimiento familiar para la donación de órganos.
Todos los pacientes tenían un EEG sin actividad bioeléctrica cerebral compatible con una situación de ME.
A 5 de los 6 pacientes estudiados se les realizó un estudio DTC. En todos los casos se encontraron patrones de flujo diastólico invertido o de espigas sistólicas, cumpliendo por tanto los criterios de parada circulatoria cerebral aceptados internacionalmente para diagnóstico de ME17. En el paciente número 6, que no había recibido tratamiento con barbitúricos, fue imposible sonorizar adecuadamente la circulación posterior y solamente se consiguió estudiar las arterias cerebrales medias (ACM) que presentaban un patrón de flujo diastólico invertido.
El estudio radiológico de perfusión cerebral mostró que no existía perfusión cerebral en ninguno de los pacientes. La ausencia de llegada de contraste a la circulación intracraneal imposibilitaba la realización del postprocesado habitual, siendo nulos el volumen, el flujo y el tiempo de tránsito medios cerebrales.
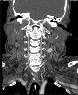
La angiografía computarizada constató en todos los casos la detención del contraste al nivel del agujero magno sin visualizarse contraste en arterias vertebrales intracraneales. Al estudiar la circulación anterior se visualiza un afilamiento progresivo de las arterias carótidas internas en el cuello, comprobándose que el contraste se detiene en la porción petrosa carotídea, y demostrándose la ausencia de relleno de las arterias carótidas internas intracraneales. Se observa relleno de contraste en las diferentes ramas de las arterias carótidas externas (figs. 1-4).
Figura 1. Angio-tomografía computarizada que demuestra la ausencia de circulación intracraneal. Las flechas finas indican las ramas arteriales de la arteria carótida externa y la flecha gruesa la craneotomía.
Figura 2. Reconstrucción 3D en la que se observa flujo en la arteria carótida común y arterias vertebrales extracraneales, así como en las diversas ramas de la arteria carótida externa. Nótese el afilamiento de la arteria carótida interna (flecha gruesa). En el análisis de flujo de los vasos visualizados (marcado mediante línea puntos suspensivos en color blanco) se observa la desviación del flujo de la carótida primitiva hacia la carótida externa.
Figura 3. Reconstrucción 3D con supresión del hueso, donde se evidencia la parada del flujo en las arterias carótidas internas (flecha gruesa) y arterias vertebrales (flecha fina) a nivel extracraneal. Se visualizan las arterias carótidas externas y sus ramas (doble flecha).
Figura 4. Reconstrucción multiplanar en proyección coronal, que demuestra relleno de contraste de las arterias vertebrales a nivel extracraneal con ausencia de flujo en la fosa posterior.
DISCUSIÓN
Realizar un diagnóstico rápido de ME es importante desde dos puntos de vista. Por una parte, nos permite retirar el tratamiento y todas las medidas de soporte, incluida la ventilación mecánica, evitando la futilidad terapéutica, la ansiedad de la familia ante la incertidumbre diagnóstica y el consumo de recursos innecesarios. Por otra parte, un diagnóstico rápido evita un mantenimiento prolongado, optimizando el manejo del donante multiorgánico.
En la práctica clínica la mayor dificultad diagnóstica viene dada por la utilización de fármacos sedantes fundamentalmente los barbitúricos, que a dosis elevadas, invalidan la exploración neurológica y los resultados del EEG23,24. En estos casos, la legislación vigente y las guías de práctica clínica obligan a utilizar métodos diagnósticos instrumentales «de flujo»5,6,9,11.
En ME existe una parada circulatoria cerebral, que se produce cuando la presión intracraneal excede a la presión arterial sistólica. Tradicionalmente, la arteriografía cerebral de 4 troncos ha sido considerada como el estándar de referencia para el diagnóstico instrumental de ME, ya que demuestra claramente la ausencia de FSC, pero presenta grandes limitaciones que han impedido su uso rutinario. Requiere una sala de Neurorradiología con personal experto siempre disponible y un tiempo prolongado de realización. Las nuevas formas de realizar angiografías cerebrales mediante angio-TC multicorte tienen la ventaja de ser realizadas mediante la inyección de contraste en una vena, y estar disponibles en el hospital de forma continuada.
Dupas et al25 publicaron una serie de 14 pacientes diagnosticados de ME mediante TC helicoidal "en dos fases". Inicialmente realizaban TC sin contraste obteniendo imágenes cada 10 mm. Veinte segundos después de la inyección de contraste, realizaban una TC para valorar la circulación cerebral arterial, repitiéndose la segunda fase a los 54 segundos para estudiar la circulación venosa, reconstruyendo las imágenes cada 5 mm. En el trabajo no se menciona el modelo de TC helicoidal utilizado, aunque dado el grosor de adquisición de imágenes y el año de realización, se trataba sin duda de una TC con características técnicas y prestaciones muy inferiores a las actuales. Los criterios de ME se basan en la ausencia de opacificación de las arterias pericallosas y de las arterias terminales del córtex. Valorando la opacificación para cada tipo de vaso analizado, la especificidad alcanzada era del 100%, concluyendo que la «angio-TC helicoidal en dos fases» podía demostrar la ausencia de FSC. Recientemente, Leclerc et al26 publican 15 pacientes con ME clínica a los que se les realiza el diagnóstico de parada circulatoria cerebral mediante angio-TC helicoidal en dos fases, 20 y 60 segundos después de la inyección del contraste. El protocolo técnico y los resultados son similares al estudio de Dupas, y concluyen que la ausencia de ramas corticales de la ACM, y la ausencia de opacificación de la vena cerebral interna son los mejores criterios para el diagnóstico de ME por angio-TC. Los trabajos de Dupas y de Leclerc25,26 pueden ser considerados los antecedentes diagnósticos de ME mediante TC, pero difieren en la técnica, las imágenes obtenidas y los criterios diagnósticos. Leclerc utiliza una TC multicorte de 4 detectores (Somatom Volume Zoom, de Siemens®), muy inferior en prestaciones al equipo de 64 detectores utilizado en nuestra investigación y que no puede realizar la perfusión cerebral, ni la angiografía cerebral tridimensional valorada en nuestro estudio.
Qureshi et al19 publican dos pacientes tratados con barbitúricos y sospecha de ME, en los cuales se documenta la ausencia de FSC mediante estudios de perfusión cerebral y angio-TC. Dicen que la angio-TC puede ser un método diagnóstico de ME y recomiendan la ampliación de estudios para determinar la sensibilidad y especificidad de la técnica.
En el año 2005 Yu et al21 publican un caso diagnosticado de ME mediante angio-TC. Aunque en el trabajo no se menciona el modelo o tipo de TC utilizado se deduce por las imágenes acompañantes que se trata de una TC multicorte de última generación.
En los 6 pacientes estudiados en este trabajo se demuestra la ausencia de perfusión cerebral y de circulación intracraneal. Ningún paciente de la serie tenía interferencia farmacológica que impidiera hacer el diagnóstico clínico. Algunos de ellos fueron tratados con barbitúricos, pero éstos habían sido retirados con un intervalo de tiempo suficiente para permitir la exploración neurológica. Por otra parte, todos los pacientes tenían un DTC que mostraba patrones típicos de ME y un EEG sin actividad bioeléctrica cerebral.
En nuestra investigación la TC presenta una correlación excelente con los otros métodos diagnósticos utilizados (exploración clínica, EEG y DTC), no existiendo discrepancias entre los diferentes métodos. Considerando la exploración clínica como referencia, ya que ningún paciente tenía interferencia con fármacos sedantes, la sensibilidad obtenida con la TC fue del 100%, no pudiendo calcularse la especificidad, al no disponer, dadas las características del estudio, de una población control sin ME. En este sentido, podemos considerar como «grupo control» todos los estudios rutinarios de TC realizados a pacientes neurocríticos, en los que nunca se encuentran los hallazgos aquí comentados (fig. 5). Utilizando este elemento de comparación la especificidad obtenida sería del 100%. Si comparamos el diagnóstico por TC con el DTC la sensibilidad obtenida es del 100% frente al 83%, ya que en uno de los 6 pacientes no se consiguió sonorizar la circulación posterior. Por otra parte, es evidente que la demostración de ausencia de flujo sanguíneo intracraneal condiciona de forma inequívoca la ausencia de funciones encefálicas, estableciendo por tanto un diagnóstico indiscutible de ME, lo que tiene especial interés en pacientes con dificultad diagnóstica clínica por tratamiento con fármacos sedantes, graves destrozos del macizo craneofacial, alteraciones metabólicas importantes o dificultad para realizar la prueba de la apnea.
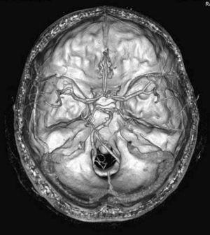
Figura 5. Reconstrucción 3D de una angio-tomografía computarizada cerebral en un paciente con flujo sanguíneo cerebral. Se identifica perfectamente el polígono de Willis, ambas arterias carótidas internas y sus diferentes ramas, así como la circulación posterior con arterias vertebrales y arteria basilar.
No hemos encontrado en la literatura científica revisada ninguna serie tan grande como la nuestra, ni tampoco referencias a trabajos similares en España, hecho que no es de extrañar, ya que en el momento de transcribir este estudio sólo existen dos TC multicorte de 64 detectores en hospitales públicos de nuestro país. Aunque con menor definición, la arteriografía cerebral, la reconstrucción 3D y el estudio de perfusión cerebral pueden ser igualmente realizados por TC de 16 y 32 detectores, siempre que dispongan del programa específico de perfusión cerebral. Este hecho es importante para su aplicabilidad, ya que estos últimos equipos están ya más generalizados.
La angio-TC, con o sin estudio de perfusión cerebral, es una técnica rápida, mínimamente invasiva, fácil de realizar, con disponibilidad de 24 horas, y que confirma la ausencia de circulación intracraneal. La angiografía con TC tiene especial interés en pacientes con dificultad diagnóstica clínica que requieran pruebas instrumentales «de flujo», ya que sus resultados no están interferidos por alteraciones metabólicas o farmacológicas. Por todo ello, creemos que representa una interesante alternativa de futuro a la arteriografía convencional en el diagnóstico de ME, hecho que se verá facilitado por la progresiva incorporación de estos nuevos equipos. Dado el número de pacientes estudiados y las escasas referencias en la literatura médica, será necesario realizar más estudios que contribuyan a validar la técnica.
Algunos países como Francia aceptan ya la angio-TC helicoidal como prueba instrumental diagnóstica de ME26. En España, para poder utilizar la angiografía cerebral mediante TC como método diagnóstico con validez legal será necesario modificar el Anexo I del Real Decreto 2070/1999.
AGRADECIMIENTOS
Al Dr. Luis Luyando, radiólogo; a José Luis Torrijo Meléndez, técnico especialista en radiodiagnóstico; a todo el personal médico y técnico del Servicio de Radiología del Hospital Universitario Central de Asturias por su esfuerzo y dedicación y al Dr. Sergio Calleja, neurólogo, por su inestimable colaboración.
Declaración de conflicto de intereses
Los autores han declarado no tener ningún conflicto de intereses.
Correspondencia: Dra. D. Escudero.
Servicio de Medicina Intensiva.
Hospital Universitario Central de Asturias.
C/ Celestino Villamil, s/n.
33006 Oviedo.
Correo electrónico: dolores.escudero@sespa.princast.es
Correo electrónico: lolaescudero@telefonica.net
Manuscrito aceptado el 5-XII-2006.








