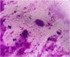
A 56-year-old man with extensive thermal burns received escharotomy and split-thickness skin grafting (STSG). Numerous punched-out ulcers with confluence developed on the donor sites of STSG and burn wounds on his face, neck, and trunk (Figs. 1 and 2) 5 days following surgery. Multinucleated giant cells were present in Tzanck smear (Fig. 3) and herpes simplex virus (HSV) was identified by polymerase chain reaction from the ulcers. Anti-varicella zoster virus immunoglobulin (Ig) M antibody examination was negative. We diagnosed eczema herpeticum and administered intravenous acyclovir (500mg every 8h). Although the ulcers gradually healed after 1-month antiviral treatment, HSV tracheobronchitis and skin graft failure developed subsequently. Eczema herpeticum can cause delay wound healing, viremia, sepsis, multiple-organ failure, and mortality in burn patients.
Funding sourcesNone declared.
Competing interest statementNone declared.
Statement on contributorship and the guarantorAll authors substantially contributed to the planning, drafting/revising and final approval of the article. Dr. Chen was responsible for the overall content as guarantor.
Declaration of patient consentThe authors affirm that human research participants provided informed consent for publication of the images. The participant’s wife has consented to the submission of the case report to the journal. Patient’s wife signed informed consent regarding publishing their data and photographs.
Institutional review board approvalThis study was approved by the Chang Gung Medical Foundation Institutional Review Board No. 202400194B0.
Declaration of generative AI in scientific writingNone.
None.





