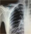
Varón de 24 años, con antecedentes de enfermedad de Crohn ingresa por dolor en fosa ilíaca derecha (FID) objetivándose en la TAC abdominal perforación ileal, se le realiza una hemicolectomía derecha y resección ileal urgente. El séptimo día postintervención, tras la retirada del catéter venoso central (CVC) subclavia derecha, presenta episodio brusco de disnea y dolor subcostal derecho, desaturación, sudoración profusa con recuperación tras oxigenoterapia. A las pocas horas, mientras deambula, presenta mareo, disnea súbita con desaturación hasta el 50% y taquipnea. Índice de Glasgow: 6 puntos (AO: 4, RM: 1 y RV: 1), rigidez de extremidades y desviación conjugada de la mirada a la derecha. Se descartó enfermedad isquémica/hemorrágica cerebral. Se realiza angio-TAC pulmonar apreciándose enfisema subcutáneo a nivel infraclavicular derecho (flecha lila), con aire a nivel de la vena subclavia derecha compatible con embolia gaseosa (flecha blanca), sin apreciarse aire en cavidades cardíacas, ni en arterias pulmonares principales (fig. 1). En la Rx de tórax se aprecia zona radiolúcida a nivel infraclavicular derecho (flecha azul) en la localización de CVC subclavia derecha (fig. 2). El paciente presenta buena evolución con recuperación del nivel de conciencia manteniéndose oxigenoterapia con VMK reservorio y posición en Trendelenburg, y tras 48h de ingreso en la UCI pudo darse de alta a la planta.
Agradecimientos a todo el personal de la UCI de Villajoyosa.




