Sr. Director:
Presentamos el caso de una paciente de 46 años, con antecedentes de leucemia mielomonocítica crónica de tres años de evolución en tratamiento con hidroxiurea y prednisona, en espera de trasplante de médula ósea de donante no emparentado.
Presenta un cuadro de dolor abdominal, fiebre e hipotensión arterial, precisando aporte de volumen y fármacos vasoactivos. Finalmente, ante el deterioro respiratorio en el contexto de un shock séptico precisa intubación y traslado a la Unidad de Cuidados Intensivos.
Ante la sospecha de shock séptico de origen abdominal, tras la recogida de hemocultivos seriados, se inicia cobertura antibiótica empírica con cefepima, amikacina y metronidazol. Se realiza tomografía axial computarizada (TAC) abdominal que no objetiva perforación, hallándose cambios compatibles con colitis en ciego y colon ascendente.
Tras cuadro inicial con fallo multiorgánico que requirió medidas de soporte respiratorio, hemodinámico y renal presenta mejoría logrando suspender los fármacos vasoactivos, recuperando la función renal y consiguiendo disminuir el soporte ventilatorio, pero sin poder llegar a la extubación.
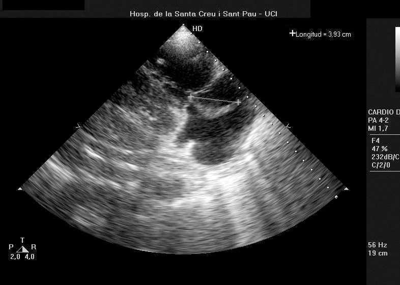
En pocos días presenta nuevo deterioro con shock séptico a pesar del tratamiento antibiótico. Aparece soplo tricuspídeo 4/6, por lo que se realiza ecocardiografía transtorácica en la que se objetiva la existencia de vegetación tricúspide voluminosa (4,5 cm en su diámetro longitudinal) en la valva septal con insuficiencia de moderada a importante.
Con sospecha de endocarditis fúngica se decide la recogida de hasta 6 hemocultivos seriados y el inicio de tratamiento antifúngico con caspofungina. A posteriori, tras resultar positivos 5 de 6 hemocultivos para Candida albicans, sensible a fluconazol, se decide cobertura antifúngica doble y se comenta la posibilidad de recambio valvular, decidiendo estabilización del cuadro y cirugía en las próximas 72 horas.
Figura 1. Imagen ecográfica de la vegetación sobre la válvulatricúspide de 3,93 cm de tamaño.
La paciente presenta nuevo deterioro sistémico con fallo multiorgánico, con hemocultivos que han negativizado para Candida albicans, en el contexto de una sepsis por Salmonella entérica sensible a betalactámicos, que no respondió al tratamiento, falleciendo la paciente. La necropsia no fue concedida.
Desde el punto de vista de muchos expertos1 las endocarditis fúngicas (EF) deberían clasificarse como una patología infecciosa emergente, aumentando su incidencia en relación con el avance en las técnicas, tanto médicas como quirúrgicas, relacionada con factores de riesgo de sobra conocidos de los que tenemos un ejemplo claro en este caso: tratamiento antibiótico de amplio espectro y de duración prolongada, tratamiento inmunosupresor y técnicas invasivas.
No se llega a obtener el diagnóstico histopatológico, pero según los criterios de Duke2 nos encontramos ante un diagnóstico definitivo con dos criterios mayores (hemocultivos positivos y evidencia por ecocardiografía de vegetación).
Las características ecográficas3, un gran tamaño (hasta 3,5 cm en las EF frente a menos de 1 cm de las bacterianas), ratificarían el diagnóstico.
A pesar de existir en la literatura casos clínicos de pacientes que tan sólo con tratamiento médico resultaron exitosos4, las guías de las distintas sociedades sobre endocarditis5 siguen incluyendo la EF en las indicaciones de cirugía.



