La leucoencefalitis aguda hemorrágica (LAH) o enfermedad de Weston-Hurst es una rara presentación hiperaguda y fulminante de la enfermedad desmielinizante, constituyendo la forma más grave de encefalomielitis aguda diseminada (EAD). Descrita en 1941 por E. Weston-Hurst1 afecta fundamentalmente a niños y adultos jóvenes, estando precedida casi siempre por una infección respiratoria.
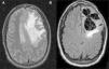
Presentamos el caso de un varón de 23 años, alérgico a penicilinas, sin otros antecedentes clínicos ni tóxicos salvo haber presentado una infección de vías respiratorias altas 14 días antes. Es llevado al Servicio de Urgencias por episodio de desconexión del medio, ausencia de emisión de lenguaje y convulsiones tónico-clónicas con relajación de esfínteres. Se encontraba hemodinámicamente estable, con temperatura de 37,2°C, una puntuación en la escala de coma de Glasgow de 11 (apertura ocular 2, respuesta verbal 4 y respuesta motora 5) y hemiparesia derecha. Analíticamente destacaban 16.420 leucocitos/μl con neutrofilia del 95%. En la tomografía computarizada (TC) craneal de urgencia se observaba una lesión hipodensa subcortical frontal izquierda, que no captaba contraste, con efecto masa que colapsaba parcialmente los ventrículos laterales y desplazaba 8mm la línea media. Ingresó en el Servicio de Neurocirugía con el diagnóstico de probable glioma de bajo grado. Se completó el estudio con resonancia magnética (RM) cerebral en la que se confirmaba la existencia de una lesión hiperintensa no captante, que ocupaba el lóbulo frontal izquierdo con extensión al lóbulo parietal y cuerpo calloso con signos de herniación subfalcial (fig. 1A). El comienzo de fiebre con un pico de 38,2°C hizo sospechar la posibilidad de encefalitis vírica y se comenzó de manera empírica tratamiento con aciclovir y posteriormente se amplió con cobertura antibiótica consistente en aztreonam, metronidazol y linezolid. Debido a un rápido deterioro del nivel de consciencia que presentó el paciente, se trasladó a la Unidad de Cuidados Intensivos (UCI) y una vez estabilizado se intervino de urgencia mediante craniectomía descompresiva encontrándose un tejido friable y muy edematizado, con signos de hipertensión intracraneal, pero sin lesiones corticales que sugirieran lesión tumoral. Se enviaron muestras tanto de líquido cefalorraquídeo (LCR) como de tejido encefálico a los laboratorios de Microbiología y Anatomía Patológica. El postoperatorio trascurrió en la UCI con escasa mejoría, persistiendo la afasia y rigidez de miembros. En el control por RM aunque había disminución de la desviación de la línea media, se mantenían lesiones hiperintensas residuales (fig. 1B). Las serologías de VIH, virus herpes, Mycoplasma sp. y Chlamydia sp. resultaron negativas, así como la reacción en cadena de la polimerasa (PCR) para virus neurotropos (virus herpes tipo 1 y 2, varicela zóster, citomegalovirus, virus de Epstein-Barr y virus Toscana) y cultivos microbiológicos de las muestras de tejido cerebral. Los hallazgos de la histopatología del tejido resecado mostraban importante hemorragia perivascular e infiltrado neutrofílico y macrofágico de las vainas perivasculares de arteriolas y capilares junto a desmielinización marcada, siendo compatible con el diagnóstico de LAH (enfermedad de Weston-Hurst). El paciente se trató inicialmente con bolos de 1g de metilprednisolona durante 5 días y al no haber mejoría se inició terapia con plasmaféresis, realizándose 7 ciclos, presentando una evolución favorable a estos últimos.
La LAH es una EAD poco frecuente y con afectación neurológica grave. Su clínica acontece de forma brusca en forma de depresión del nivel de consciencia, cefalea, fiebre, rigidez nucal, signos de piramidalismo, leucocitosis con neutrofilia y, ocasionalmente, crisis convulsivas2. El LCR suele presentar una presión elevada, con una celularidad que varía de unos pocos linfocitos a la pleocitosis neutrofílica más típica, junto a hiperproteinorraquia y valores de glucorraquia normales. Fisiopatológicamente constituye un proceso autoinmune hiperagudo provocado por una reacción cruzada entre antígenos de un agente infeccioso y los del sistema nervioso central (SNC) del paciente. El antecedente infeccioso más frecuente lo constituyen las infecciones respiratorias altas, si bien también se ha relacionado con vacunaciones contra enfermedades víricas (virus de la parotiditis, sarampión y varicela)3,4. En algunos casos el proceso se asocia a defectos genéticos en la cadena del complemento5. Dado lo inespecífico del antecedente infeccioso y la frecuente ausencia de aislamiento microbiológico, la incidencia exacta de la enfermedad solo puede ser estimada y se basa fundamentalmente en series de autopsias de casos probados4. La LAH muestra de manera típica en la RM áreas de edematización y desmielinización circunscritas a la sustancia blanca acompañadas frecuentemente de efecto masa y hemorragias6. El diagnóstico de certeza lo proporciona la Anatomía Patológica con zonas de hemorragia junto a inflamación granulocítica y macrofágica del tejido nervioso a diferencia de la EAD en la que predomina el infiltrado linfocítico7. El diagnóstico diferencial incluye los procesos infecciosos del SNC (abscesos cerebrales, meningitis bacteriana aguda y encefalitis herpética), vasculitis del SNC y la EAD. El pronóstico es malo, con una mortalidad de hasta el 70% de los casos8 a los pocos días del debut sintomático. Aunque no hay pautas de tratamiento establecidas, la precocidad en la instauración de este y la monitorización de la presión intracraneal en la UCI son fundamentales. Se basa en la descompresión quirúrgica con craniectomía o ventriculostomía, pulsos de corticoesteroides a altas dosis, inmunoglobulinas endovenosas, inmunosupresores tales como la ciclofosfamida y plasmaféresis9,10. El tratamiento inmunosupresor en la LAH se fundamenta en la suposición de su fisiopatología autoinmune, basándose en la similitud con la EAD y la activación de linfocitos T autorreactivos contra la mielina que se produce en esta. De las terapias inmunes propuestas no hay evidencia de cuál de ellas, aisladas o en combinación, es mejor. Nuestro paciente tras permanecer 19 días en la UCI se trasladó a planta de Neurología y fue dado de alta con leve hemiparesia derecha y disfasia continuando actualmente su mejoría progresiva y sin haber presentado recurrencias.
FinanciaciónEl presente trabajo no ha recibido subvención o soporte financiero de ningún tipo.
Conflicto de interesesTodos los autores declaran no tener conflicto de intereses de ningún tipo y han cumplido todas las normas éticas pertinentes.



